Imaging and interventions in hilar cholangiocarcinoma: A review
- PMID: 25729485
- PMCID: PMC4326732
- DOI: 10.4329/wjr.v7.i2.28
Imaging and interventions in hilar cholangiocarcinoma: A review
Abstract
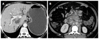
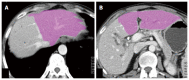
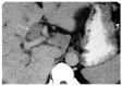
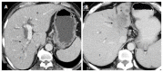
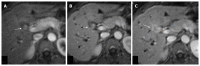
Hilar cholangiocarcinoma is a common malignant tumor of the biliary tree. It has poor prognosis with very low 5-year survival rates. Various imaging modalities are available for detection and staging of the hilar cholangiocarcinoma. Although ultrasonography is the initial investigation of choice, imaging with contrast enhanced computed tomography scan or magnetic resonance imaging is needed prior to management. Surgery is curative wherever possible. Radiological interventions play a role in operable patients in the form of biliary drainage and/or portal vein embolization. In inoperable cases, palliative interventions include biliary drainage, biliary stenting and intra-biliary palliative treatment techniques. Complete knowledge of application of various imaging modalities available and about the possible radiological interventions is important for a radiologist to play a critical role in appropriate management of such patients.We review the various imaging techniques and appearances of hilar cholangiocarcinoma and the possible radiological interventions.
Keywords: Biliary intervention; Biliary malignancy; Cholangiocarcinoma; Computed tomography; Imaging; Magnetic resonance imaging.
Figures




























References
Publication types
LinkOut - more resources
Full Text Sources
Other Literature Sources