Walled-off pancreatic necrosis and other current concepts in the radiological assessment of acute pancreatitis
- PMID: 25741074
- PMCID: PMC4337140
- DOI: 10.1590/0100-3984.2012.1565
Walled-off pancreatic necrosis and other current concepts in the radiological assessment of acute pancreatitis
Abstract
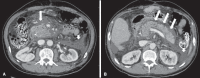
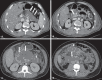
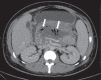
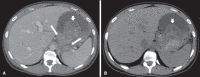
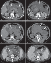
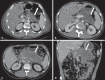
Acute pancreatitis is an inflammatory condition caused by intracellular activation and extravasation of inappropriate proteolytic enzymes determining destruction of pancreatic parenchyma and peripancreatic tissues. This is a fairly common clinical condition with two main presentations, namely, endematous pancreatitis - a less severe presentation -, and necrotizing pancreatitis - the most severe presentation that affects a significant part of patients. The radiological evaluation, particularly by computed tomography, plays a fundamental role in the definition of the management of severe cases, especially regarding the characterization of local complications with implications in the prognosis and in the definition of the therapeutic approach. New concepts include the subdivision of necrotizing pancreatitis into the following presentations: pancreatic parenchymal necrosis with concomitant peripancreatic tissue necrosis, and necrosis restricted to peripancreatic tissues. Moreover, there was a systematization of the terms acute peripancreatic fluid collection, pseudocyst, post-necrotic pancreatic/peripancreatic fluid collections and walled-off pancreatic necrosis. The knowledge about such terms is extremely relevant to standardize the terminology utilized by specialists involved in the diagnosis and treatment of these patients.
A pancreatite aguda é uma condição inflamatória causada por ativação intracelular e extravasamento inapropriado de enzimas proteolíticas que determinam destruição do parênquima pancreático e dos tecidos peripancreáticos. Consiste em uma condição clínica bastante frequente, identificando-se duas formas principais de apresentação: a forma edematosa, menos intensa, e a forma necrosante, a forma grave da doença que acomete uma proporção significativa dos pacientes. A avaliação radiológica, sobretudo por tomografia computadorizada, tem papel fundamental na definição da conduta nos casos graves, sobretudo no que diz respeito à caracterização das complicações locais, que têm implicação prognóstica, e na determinação do tipo de abordagem terapêutica. Novos conceitos incluem a subdivisão da pancreatite necrosante nas formas de necrose do parênquima pancreático concomitante com necrose dos tecidos peripancreáticos ou necrose restrita aos tecidos peripancreáticos. Além disso, houve sistematização dos termos: acúmulos líquidos agudos peripancreáticos, pseudocisto, alterações pós-necróticas pancreáticas/peripancreáticas e necrose pancreática delimitada. Tal conhecimento é de extrema relevância no sentido de uniformizar a linguagem entre os especialistas envolvidos no diagnóstico e tratamento desses pacientes.
Keywords: Pancreatitis; Pseudocyst; Walled-off pancreatic necrosis.
Figures












References
-
- Vege SS. Clinical manifestations and diagnosis of acute pancreatitis. UpToDate; 2011. [acessado em 20 de setembro de 2011]. Disponível em: https://www.uptodate.com/contents/clinical-manifestations-and-diagnosis-....
-
- Brasil. Ministério da Saúde. Datasus Informações de saúde - 2011. [acessado em 25 de setembro de 2011]. Disponível em: http://tabnet.datasus.gov.br/cgi/tabcgi.exe?sih/cnv/niuf.def.
-
- Bradley EL., 3rd A clinically based classification system for acute pancreatitis. Summary of the International Symposium on Acute Pancreatitis, Atlanta, Ga, September 11 through 13, 1992. Arch Surg. 1993;128:586–590. - PubMed
-
- Bollen TL, van Santvoort HC, Besselink MG, et al. The Atlanta classification of acute pancreatitis revisited. Br J Surg. 2008;95:6–21. - PubMed
-
- Sheu Y, Furlan A, Almusa O, et al. The revised Atlanta classification for acute pancreatitis: a CT imaging guide for radiologists. Emerg Radiol. 2012;19:237–243. - PubMed
Publication types
LinkOut - more resources
Full Text Sources
Other Literature Sources