Tenosynovitis of the wrist and thumb and carpal tunnel syndrome caused by Histoplasma capsulatum: case report and review of the literature
- PMID: 25762883
- PMCID: PMC4349833
- DOI: 10.1007/s11552-014-9611-4
Tenosynovitis of the wrist and thumb and carpal tunnel syndrome caused by Histoplasma capsulatum: case report and review of the literature
Abstract
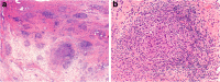
A patient presenting with acute carpal tunnel syndrome and swelling and pain in the wrist and thumb is presented. An open carpal tunnel release and tenosynovectomy were performed with biopsy specimen revealing infection with Histoplasma capsulatum. The case is discussed in context of the prior scant literature of tenosynovitis of the wrist and hand caused by histoplasmosis.
Figures






References
-
- Allen JH., Jr Bone involvement with disseminated histoplasmosis. Am J Roentgenol. 1959;82:250–3. - PubMed
-
- Care SB, Lacey SH. Recurrent histoplasmosis of the wrist: a case report. J Hand Surg. 1998;23A:112–4. - PubMed
-
- Darouiche RO, Cadle RM, Zenon GJ, Weinert MF, Hamill RJ, Lidsky MD. Articular histoplasmosis. J Rheumatol. 1992;19:1991–3. - PubMed
LinkOut - more resources
Full Text Sources
Other Literature Sources