Use of congenital pouch colon for augmenting the neurogenic bladder in a child: a 13-year follow-up
- PMID: 25766441
- PMCID: PMC4369025
- DOI: 10.1136/bcr-2014-208486
Use of congenital pouch colon for augmenting the neurogenic bladder in a child: a 13-year follow-up
Abstract
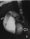
Congenital pouch colon is an anomaly always associated with anorectal malformation, where the colon is replaced by or terminates into a large aperistaltic intestinal pouch. Vertebral anomalies leading to neurogenic bladder are rare associated malformations. The pouch is aperistaltic and thus a poor rectal substitute but this very property makes it ideal for bladder augmentation. We report the first case where the pouch has been used to augment a high-pressure neurogenic bladder.
2015 BMJ Publishing Group Ltd.
Figures



References
-
- Gupta DK, Sharma S. Congenital pouch colon—then and now. J Indian Assoc Pediatr Surg 2007;12:5–12. 10.4103/0971-9261.31081 - DOI
-
- Budhiraja S, Pandit SK, Rattan KN. A report of 27 cases of congenital short colon with an imperforate anus: so-called ‘pouch colon syndrome’. Trop Doct 1997;27:217–20. - PubMed
Publication types
MeSH terms
LinkOut - more resources
Full Text Sources
Other Literature Sources