A lethal complication after transarterial chemoembolization with drug-eluting beads for hepatocellular carcinoma
- PMID: 25802793
- PMCID: PMC4353438
- DOI: 10.1155/2015/873601
A lethal complication after transarterial chemoembolization with drug-eluting beads for hepatocellular carcinoma
Abstract
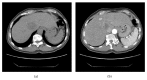
Background. The current standard of care for patients with large or multinodular noninvasive hepatocellular carcinoma is conventional transarterial chemoembolization (TACE). TACE may also be performed with drug-eluting beads, but serious complications of this procedure have been reported. Methods. Aim of this report is to present a patient affected by multifocal HCC who underwent TACE with drug-eluting bead (DEB-TACE). Results. Following the procedure the patient developed a hepatic abscess and biliobronchial fistula resulting in adult respiratory distress syndrome and death. Conclusion. We speculate that DEB-TACE has a prolonged effect on the tumor and the surrounding liver, resulting in progressive enlargement of the necrotic area. This activity that can extend to the surrounding healthy hepatic tissues may continue indefinitely.
Figures
References
LinkOut - more resources
Full Text Sources
Other Literature Sources
Miscellaneous
