Comparative clinical evaluation of coronally advanced flap with or without platelet rich fibrin membrane in the treatment of isolated gingival recession
- PMID: 25810596
- PMCID: PMC4365161
- DOI: 10.4103/0972-124X.145790
Comparative clinical evaluation of coronally advanced flap with or without platelet rich fibrin membrane in the treatment of isolated gingival recession
Abstract
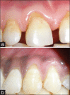
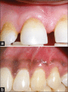
Aim: The aim of this study was to determine whether the addition of an autologous platelet rich fibrin (PRF) membrane to a coronally advanced flap (CAF) would improve the clinical outcome in terms of root coverage, in the treatment of isolated gingival recession.
Materials and methods: Systemically healthy 20 subjects each with single Miller's class I or II buccal recession defect were randomly assigned to control (CAF) or test (CAF + PRF) group. Clinical outcome was determined by measuring the following clinical parameters such as recession depth (RD), recession width (RW), probing depth (PD), clinical attachment level (CAL), width of keratinized tissue (WKT), gingival thickness (GTH), plaque index (PI), and gingival index (GI) at baseline, 3(rd), and 6(th) month postsurgery.
Results: The root coverage was 65.00 ± 44.47% in the control group and 74.16 ± 28.98% in the test group at 6(th) month, with no statistically significant difference between them. Similarly, CAL, PD, and WKT between the groups were not statistically significant. Conversely, there was statistically significant increase in GTH in the test group.
Conclusion: CAF is a predictable treatment for isolated Miller's class I and II recession defects. The addition of PRF to CAF provided no added advantage in terms of root coverage except for an increase in GTH.
Keywords: Coronally advanced flap; gingival recession; gingival thickness; platelet rich fibrin; recession coverage.
Conflict of interest statement
Figures



References
-
- Kontovazainitis G, Griffin TJ, Cheung WS. Treatment of gingival recession using platelet concentrate with a bioabsorbable membrane and coronally advanced flap: A report of two cases. Int J Periodontics Restorative Dent. 2008;28:301–7. - PubMed
-
- Zucchelli G, Amore C, Sforza NM, Montebugnoli L, De Sanctis M. Bilaminar techniques for the treatment of recession-type defects. A comparative clinical study. J Clin Periodontol. 2003;30:862–70. - PubMed
-
- Susin C, Haas AN, Oppermann RV, Haugejorden O, Albandar JM. Gingival recession: Epidemiology and risk indicators in a representative urban Brazilian population. J Periodontol. 2004;75:1377–86. - PubMed
-
- Cheung WS, Griffin TJ. A comparative study of root coverage with connective tissue and platelet concentrate grafts: 8-month results. J Periodontol. 2004;75:1678–87. - PubMed
-
- Kassab MM, Cohen RE. The etiology and prevalence of gingival recession. J Am Dent Assoc. 2003;134:220–5. - PubMed
LinkOut - more resources
Full Text Sources
Research Materials
Miscellaneous