Osmotic demyelination syndrome in Intensive Care Unit
- PMID: 25810613
- PMCID: PMC4366916
- DOI: 10.4103/0972-5229.152760
Osmotic demyelination syndrome in Intensive Care Unit
Abstract
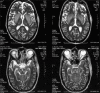
Dyselectrolytemia, especially hyponatremia is a common occurrence in hospitalized patients, and a number of dreaded complications arise out of the disorder itself and its treatment. Osmotic demyelination syndrome develops secondary to rapid correction of hyponatremia. As the disease is rare and available literature from Intensive Care Units are limited, we report our retrospective observation over 5 years. Overall incidence was 2.5% with altered sensorium and hypokalemia as most common symptom and associated factor respectively. Isolated pontine involvement was in 41% and combined pontine, and extra-pontine lesions were found in 23% of cases. All patients received supportive therapy; out of which 2 died and complete neurological recovery was seen in 24% of patients. Our findings suggest that a well organized supportive therapy and multidisciplinary approach is of more concern than many available therapeutic modalities which are still to be proved.
Keywords: Demyelination; Intensive Care Unit; hyponatremia; osmotic; syndrome.
Conflict of interest statement
Figures


References
-
- Adams RD, Victor M, Mancall EL. Central pontine myelinolysis: A hitherto undescribed disease occurring in alcoholic and malnourished patients. AMA Arch Neurol Psychiatry. 1959;81:154–72. - PubMed
-
- Ashrafian H, Davey P. A review of the causes of central pontine myelinosis: Yet another apoptotic illness? Eur J Neurol. 2001;8:103–9. - PubMed
-
- Verbalis JG, Gullans SR. Rapid correction of hyponatremia produces differential effects on brain osmolyte and electrolyte reaccumulation in rats. Brain Res. 1993;606:19–27. - PubMed
-
- Singh N, Yu VL, Gayowski T. Central nervous system lesions in adult liver transplant recipients: Clinical review with implications for management. Medicine (Baltimore) 1994;73:110–8. - PubMed
LinkOut - more resources
Full Text Sources
Other Literature Sources
Research Materials