Stroke Mimic Secondary to IV Fentanyl Administration
- PMID: 25825627
- PMCID: PMC4367802
Stroke Mimic Secondary to IV Fentanyl Administration
Abstract
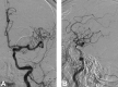
Fentanyl is a potent opioid used commonly in acute care because of its rapid onset and short duration of action. It has fewer side effects when compared with commonly available opioids, such as morphine and hydromorphine. We report an unusual side effect of transient aphasia following fentanyl administration. A 61-year-old female presented for an elective embolization of a periophthalmic artery aneurysm. She developed immediate episodes of aphasia on two separate occasions following administration of intravenous (IV) fentanyl. The high lipid solubility explains the rapid onset of action of fentanyl as it rapidly passes through the blood-brain barrier and through cell membranes. Immediately following the administration of fentanyl, the patient developed aphasia. There were no other clinical or neurological imaging findings that could account for these symptoms. We believe that aphasia may be an unusual side effect of fentanyl, and it is something clinicians should be aware of.
Figures
 
              
              
              
              
                
                
                 
              
              
              
              
                
                
                 
              
              
              
              
                
                
                References
- 
    - Dolin SJ. “Drugs and pharmacology”. In: Padfield Nicholas L., editor. Total Intravenous Anesthesia. Butterworth Heinemann; Oxford: 2000. pp. 13–35.
 
- 
    - McKeen MJ, Quraishi SA. Clinical review of intravenous opioids in acute care. journal of Anesthesiology and Clinical Science. 2013;2:1.
 
- 
    - Schumacher MA, Basbaum AI, Way WL. Chapter 31. Opioid Analgesics & Antagonists. In: Katzung BG, Masters SB, Trevor AJ, editors. Basic & Clinical Pharmacology. 12. New York: McGraw-Hill; 2012.
 
- 
    - Stoelting RK, Miller RD. Intravenous Anesthetics, in Basics of Anesthesia. 4. Churchill-Livingstone; 2000. pp. 58–69.
 
LinkOut - more resources
- Full Text Sources
