Skip to main page content
U.S. flag

An official website of the United States government

Dot gov

The .gov means it’s official.
Federal government websites often end in .gov or .mil. Before sharing sensitive information, make sure you’re on a federal government site.

Https

The site is secure.
The https:// ensures that you are connecting to the official website and that any information you provide is encrypted and transmitted securely.

Access keys NCBI Homepage MyNCBI Homepage Main Content Main Navigation
. 2015 Jan-Feb;36(1):15-20.

Acute necrotizing pancreatitis: can tigecycline be included in a therapeutic strategy?

Acute necrotizing pancreatitis: can tigecycline be included in a therapeutic strategy?

S Occhionorelli et al. G Chir. 2015 Jan-Feb.

Abstract

Introduction: Acute necrotizing pancreatitis is a severe and life-threatening disease. Infection, which occurs in about 30% of cases, is the most feared complication. Antibiotic therapy is still discussed and there are no clear recommendation in literature. These clinical series underline the importance of having a clear antibiotic protocol, including tigecycline, in the management of acute necrotizing pancreatitis. Clinical series. Six patients with clinical and radiological diagnosis of necrotizing acute pancreatitis are treated in Emergency Surgery Department, following a conservative management, which includes fluid resuscitation, intensive care unit and radiological monitoring, ultrasound-guided percutaneous drainage and an antibiotic treatment protocol, that includes tigecycline. No one of the six patient undergo surgery (mean hospital stay: 44 days). In a six months follow-up all patients are alive and in good clinical conditions.

Discussion: Infection is the most important factor which determinate prognosis and outcome of acute necrotizing pancreatitis. Antibiotic prophylaxis is still discussed and there are no clear antibiotic treatment guidelines in literature. Despite its side effects on pancreatic gland, tigecycline is successful in resolution of sepsis, caused by infected pancreatic necrosis.

Conclusions: Collaboration with infectivologist and a clear antibiotic protocol is fundamental to solve infected necrosis. Antibiotic treatment, set up as soon as possible, is successful in our six patients, as they recover without undergoing surgical procedures. Tigecycline offers broad coverage and efficacy against resistant pathogens for the treatment of documented pancreatic necrosis infection. However, further studies are necessary to fully understand the safety profile and efficacy of tigecycline.

PubMed Disclaimer

Figures

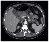
Fig. 1
Fig. 1
41-years-old man: severe acute pancreatitis CT-scan image. Acute necrotizing process involves the pancreas with extensive alteration of pancreatic structure. There is a wide low density structure of the body and the head. Pancreatic lodge infarction involves celiac vascular structures and lead to initial dislocation of the duodenal C.
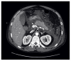
Fig. 2
Fig. 2
48-years-old man: severe acute pancreatitis CT-scan image. Acute pancreatitis characterized by large area of pancreatic swelling (cephalic) which is suitable for necrotic process. This is associated with peripancreatic fluid collections partly embedding vascular branches (celiac district, mesentericportal system) and occupy the para-renal space and the parietocolic lodge.
Fig. 3
Fig. 3
77-years-old woman: severe acute pancreatitis CT-scan image. Pancreatic structure is almost totally changed by necrotic process. Focus on the fluid, which is spread between the bowel loops.

References

    1. Banks PA, Freeman ML Practice Parameters Committee of the American College of Gastroenterology. Practice guidelines in acute pancreatits. Am J Gastroenterol. 2006;101(10):2379–400. - PubMed
    1. Whitcomb DC. Acute pancreatitis. N Engl J Med. 2006;354(20):2142–50. - PubMed
    1. Isemann R, Rau B, Beger HG. Early severe acute pancreatits:characteristics of a new subgroup. Pancreas. 2001;22(3):274–8. - PubMed
    1. Bradely EL., 3rd A clinically based classification system for acute pancreatitis. Summary of the International Symposium on Acute Pancreatitis, Atlanta, Ga, September 11 through 13, 1992. Arch Surg. 1993;128(5):586–90. - PubMed
    1. Mole DJ, Olabi B, Robinson V, et al. Incidence of individual organ dysfunction in fatal acute pancreatitis: analysis of 1024 death records. HPB (Oxford) 2009;11(2):166–70. - PMC - PubMed