Resolution of refractory superior mesenteric artery syndrome with laparoscopic duodenojejunostomy: pediatric case series with spectrum of clinical imaging
- PMID: 25829884
- PMCID: PMC4365851
Resolution of refractory superior mesenteric artery syndrome with laparoscopic duodenojejunostomy: pediatric case series with spectrum of clinical imaging
Abstract
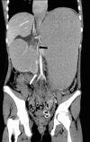
Background: Superior mesenteric artery (SMA) syndrome is an uncommon condition resulting in partial small bowel obstruction because of external compression of the third portion of the duodenum between the SMA anteriorly and the aorta posteriorly. SMA syndrome often presents with postprandial nausea, bilious vomiting, and abdominal pain with associated weight loss. Onset of symptoms can be acute (occurring in the setting of rapid weight loss because of trauma/surgery) or can be vague and chronic over many years.
Case reports: We present two cases of female adolescents who presented with symptoms of duodenal obstruction attributed to SMA syndrome. Both failed conservative treatment with weight gain and underwent successful laparoscopic duodenojejunostomy procedures with resolution of duodenal obstruction.
Conclusion: In the differential diagnosis of persistent nausea and bilious vomiting, even in the setting of an eating disorder, SMA syndrome should be considered. Upper gastrointestinal examination is the primary modality for diagnosing SMA syndrome, but ultrasound is an inexpensive, rapid screening tool for patients with unexplained abdominal pain. Abdominal computed tomography may also be helpful in selected patients. Conservative therapy consisting of nutritional support to enhance weight gain is usually sufficient and is accomplished with placement of a nasojejunal feeding tube past the point of duodenal compression. When conservative therapy fails, laparoscopic duodenojejunostomy can provide definitive relief of the obstruction.
Keywords: Duodenal obstruction; superior mesenteric artery syndrome.
Conflict of interest statement
Figures
 
              
              
              
              
                
                
                 
              
              
              
              
                
                
                 
              
              
              
              
                
                
                 
              
              
              
              
                
                
                 
              
              
              
              
                
                
                References
- 
    - Welsch T, Büchler MW, Kienle P. Recalling superior mesenteric artery syndrome. Dig Surg. 2007;24(3):149–156. - PubMed
 
- 
    - Sapkas G, O'Brien JP. Vascular compression of the duodenum (cast syndrome) associated with the treatment of spinal deformities. A report of six cases. Arch Orthop Trauma Surg. 1981;98(1):7–11. - PubMed
 
- 
    - Wilkie DPD. Chronic duodenal ileus. Am J Med Sci. 1927 May;173(5):643–648.
 
Publication types
LinkOut - more resources
- Full Text Sources
- Miscellaneous
