Disseminated VZV infection and asymptomatic VZV vasculopathy after steroid abuse
- PMID: 25866342
- PMCID: PMC4395860
- DOI: 10.1016/j.jcv.2015.03.016
Disseminated VZV infection and asymptomatic VZV vasculopathy after steroid abuse
Abstract
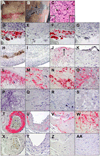
A 60-year-old man who abused corticosteroids developed thoracic-distribution zoster. Varicella zoster virus (VZV) DNA was found in non-healing skin 3 months later. He died suddenly 2 months later. Skin was ulcerated and necrotic. VZV was widespread in organs and arteries, particularly coronary arteries and aorta, with VZV vasculopathy in the posterior cerebral artery.
Keywords: Corticosteroids; Sudden death; VZV dissemination.
Copyright © 2015 Elsevier B.V. All rights reserved.
Figures
References
-
- Smitten AL, Choi HK, Hochberg MC, et al. The risk of herpes zoster in patients with rheumatoid arthritis in the United States and the United Kingdom. Arthritis Rheum. 2007;57:1431–1438. - PubMed
-
- Ma TS, Collins TC, Habib G, Bredikis A, Carabello BA. Herpes zoster and its cardiovascular complications in the elderly – another look at a dormant virus. Cardiology. 2007;107:63–67. - PubMed
-
- Standing S. Gray’s Anatomy. 40th ed. London: Churchill Livingston, Elsevier; 2008.
Publication types
MeSH terms
Substances
Grants and funding
LinkOut - more resources
Full Text Sources
Other Literature Sources
Medical
