A case of gastric heterotopic pancreatitis resected by laparoscopic surgery
- PMID: 25875550
- PMCID: PMC4400938
- DOI: 10.9738/INTSURG-D-14-00182.1
A case of gastric heterotopic pancreatitis resected by laparoscopic surgery
Abstract
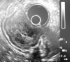
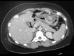
Heterotopic pancreas (HP) is a rare entity which is defined as the presence of pancreatic tissue lacking anatomical and vascular continuity with the pancreas. It is most commonly found along foregut derivatives, such as the stomach, duodenum, and jejunum. It is frequently encountered incidentally in asymptomatic patients, and symptomatic patients are rare and do not exhibit any specific symptoms. Accordingly, HP is difficult to diagnose before surgery. Here we report an unusual case of gastric heterotopic pancreatitis causing gastric outlet obstruction diagnosed preoperatively using endoscopic ultrasonography guided fine needle aspiration cytology. A 21-year-old woman was referred to our hospital because of abdominal pain, nausea, and vomiting. Gastroduodenal endoscopic examination revealed an oval-shaped submucosal tumor in the gastric body. Contrast-enhanced computed tomography (CT) revealed that the tumor had a cystic component and marked perigastric inflammation. Endoscopic ultrasonography (EUS) demonstrated a hypoechoic mass arising from the third to fourth layer of the gastric wall. Pancreatic exocrine glands were detected by EUS-guided fine needle aspiration biopsy. The lesion was diagnosed as gastric heterotopic pancreas with inflammation of the pancreatic tissue. Laparoscopic partial gastrectomy was performed, and the diagnosis was also histologically confirmed. The patient was discharged 5 days after the operation. She has remained healthy and symptom-free during 10 months of follow-up. We experienced a first case of gastric heterotopic pancreatitis which was correctly diagnosed preoperatively and resected by laparoscopic surgery. Partial resection of the heterotopic pancreatic tissue could lead to a good outcome.
Keywords: Laparoscopic surgery; Pancreatitis; Stomach.
Figures
References
-
- Ormarsson OT, Gudmundsdottir I, Marvik R. Diagnosis and treatment of gastric heterotopic pancreas. World J Surg. 2006;30(9):1682–1689. - PubMed
-
- Hsu SD, Chan DC, Hsieh HF, Chen TW, Yu JC, Chou SJ. Ectopic pancreas presenting as ampulla of Vater tumor. Am J Surg. 2008;195(4):498–500. - PubMed
-
- Armstrong CP, King PM, Dixon JM, Macleod IB. The clinical significance of heterotopic pancreas in the gastrointestinal tract. Br J Surg. 1981;68(6):384–387. - PubMed
-
- Ueno S, Ishida H, Hayashi A, Kamagata S, Morikawa M. Heterotopic pancreas as a rare cause of gastrointestinal hemorrhage in the newborn: report of a case. Surg Today. 1993;23(3):269–272. - PubMed
-
- Cardenas CM, Dominguez I, Campuzano M, Bezaury P, Iniguez-Rodriguez M, Gamboa-Dominguez A, et al. Malignant insulinoma arising from intrasplenic heterotopic pancreas. J Pancreas. 2009;10(3):321–323. - PubMed
Publication types
MeSH terms
Substances
LinkOut - more resources
Full Text Sources
Medical
Research Materials
Miscellaneous
