BRCA1 germline mutation and glioblastoma development: report of cases
- PMID: 25880076
- PMCID: PMC4377178
- DOI: 10.1186/s12885-015-1205-1
BRCA1 germline mutation and glioblastoma development: report of cases
Abstract
Background: Germline mutations in breast cancer susceptibility gene 1 (BRCA1) increase the risk of breast and ovarian cancers. However, no association between BRCA1 germline mutation and glioblastoma malignancy has ever been highlighted. Here we report two cases of BRCA1 mutated patients who developed a glioblastoma multiform (GBM).
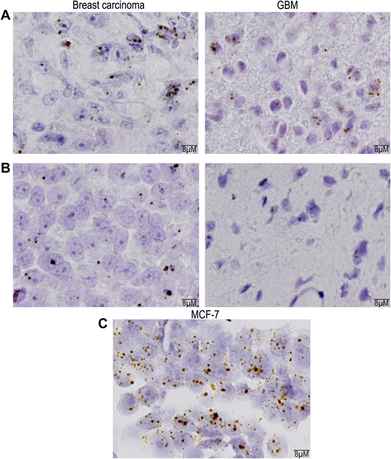
Cases presentation: Two patients diagnosed with triple negative breast cancer (TNBC) were screened for BRCA1 germline mutation. They both carried a pathogenic mutation introducing a premature STOP codon in the exon 11 of the BRCA1 gene. Few years later, both patients developed a glioblastoma and a second breast cancer. In an attempt to clarify the role played by a mutated BRCA1 allele in the GBM development, we investigated the BRCA1 mRNA and protein expression in breast and glioblastoma tumours for both patients. The promoter methylation status of this gene was also tested by methylation specific PCR as BRCA1 expression is also known to be lost by this mechanism in some sporadic breast cancers.
Conclusion: Our data show that BRCA1 expression is maintained in glioblastoma at the protein and the mRNA levels, suggesting that loss of heterozygosity (LOH) did not occur in these cases. The protein expression is tenfold higher in the glioblastoma of patient 1 than in her first breast carcinoma, and twice higher in patient 2. In agreement with the high protein expression level in the GBM, BRCA1 promoter methylation was not observed in these tumours. In these two cases, despite of a BRCA1 pathogenic germline mutation, the tumour-suppressor protein expression is maintained in GBM, suggesting that the BRCA1 mutation is not instrumental for the GBM development.
Figures
References
-
- Satagopan JM, Offit K, Foulkes W, Robson ME, Wacholder S, Eng CM, et al. The lifetime risks of breast cancer in Ashkenazi Jewish carriers of BRCA1 and BRCA2 mutations. Cancer Epidemiol Biomarkers Prev. 2001;10:467–73. - PubMed
Publication types
MeSH terms
Substances
LinkOut - more resources
Full Text Sources
Other Literature Sources
Miscellaneous
