Metastatic colonic adenocarcinoma in breast: report of two cases and review of the literature
- PMID: 25883818
- PMCID: PMC4390182
- DOI: 10.1155/2015/458423
Metastatic colonic adenocarcinoma in breast: report of two cases and review of the literature
Abstract
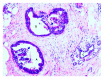
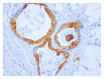
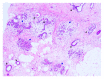
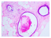
Metastatic adenocarcinoma to the breast from an extramammary site is extremely rare. In the literature, the most current estimate is that extramammary metastases account for only 0.43% of all breast malignancies and that, of these extramammary sites, colon cancer metastases form a very small subset. Most commonly seen metastasis in breast is from a contralateral breast carcinoma, followed by metastasis from hematopoietic neoplasms, malignant melanoma, sarcoma, lung, prostate, and ovary and gastric neoplasms. Here we present two rare cases, in which colonic adenocarcinomas were found to metastasize to the breast. In both cases, core biopsies were obtained from the suspicious areas identified on mammogram. Histopathology revealed neoplastic proliferation of atypical glandular components within benign breast parenchyma which were morphologically consistent with metastatic adenocarcinoma. By immunohistochemical staining, it was confirmed that the neoplastic components were immunoreactive to colonic markers and nonreactive to breast markers, thus further supporting the morphologic findings. It is extremely important to make this distinction between primary breast cancer and a metastatic process, in order to provide the most effective and appropriate treatment for the patient and to avoid any harmful or unnecessary surgical procedures.
Figures
References
-
- de Bobadilla L. F., Villanueva A. G., Collado M., et al. Breast metastasis of primary colon cancer. Revista Española de Enfermedades Digestivas. 2004;96(6):415–419. - PubMed
LinkOut - more resources
Full Text Sources
Other Literature Sources
