Postoperative recurrence of desmoid tumors: clinical and pathological perspectives
- PMID: 25888954
- PMCID: PMC4329213
- DOI: 10.1186/s12957-015-0450-8
Postoperative recurrence of desmoid tumors: clinical and pathological perspectives
Abstract
Background: The clinical features and the pathological changes of desmoid tumors were studied to point out the key factors affecting the recurrence.
Methods: The clinical data and specimens of 56 patients who underwent desmoid tumor resection from 2003 to 2008 were reviewed. Possible clinical factors related to the postoperative recurrence were analyzed statistically. The specimens round the lesions were studied histopathologically.
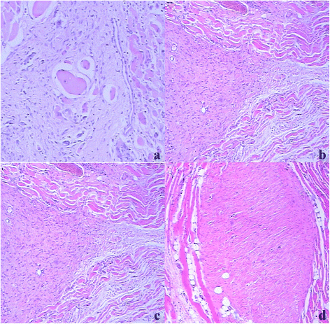
Results: The overall recurrence rate was 39.3%. The postoperative recurrence rate of the patients with negative surgical margins and no tumor invasion of the major vessels and nerves was low (P < 0.05). However, the desmoid tumors could destroy the cortical bone and invade the medullary cavity.
Conclusions: Desmoid tumors were pathologically benign, which could extensively invade tissues around the lesions. The invasion of major vessels and nerves and quality of surgical margins are the key factors for the high postoperative recurrence rate.
Figures




References
-
- Zhao DB, Shao YF. Abdominal wall desmoid tumor—a report of 53 cases. Cancer Res on Prev Treat. 2000;27:674–5.
MeSH terms
LinkOut - more resources
Full Text Sources
Other Literature Sources
Medical