Rare breast malignancies and review of literature: A single centres experience
- PMID: 25898336
- PMCID: PMC4446669
- DOI: 10.1016/j.ijscr.2015.03.010
Rare breast malignancies and review of literature: A single centres experience
Abstract
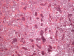
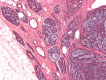
Introduction: Breast cancer is a heterogeneous condition, with variants which are less common but still very well defined by the World Health Organization (WHO) classification. With the small number of cases each year large trials are difficult to perform. This series aims to discuss the rare breast malignancies encountered within a breast department and the evidence based approached to their management.
Method: Literature search of electronic databases via PubMed and the search engines Google/Google Scholar were used. Emphasis on keywords: breast cancer and the type of histology used to limit search. Searches were screened and those articles suitable had full text versions retrieved. The references to all retrieved texts were searched for further relevant studies.
Conclusion: Due to the rarity of some of these breast cancers, systematic evaluation of patient with detailed histopathology will aid accurate diagnosis and management. The series hopes to add the existing understanding of this small percentage of cases.
Keywords: Adenoid cystic carcinoma; Lymphoma; Metaplastics carcinoma; Metastatic ovarian cancer; Osteosarcoma; Rare breast malignancies.
Copyright © 2015 The Authors. Published by Elsevier Ltd.. All rights reserved.
Figures
References
-
- Cancer Research UK, Breast Cancer Incidence Statistics. <http://www.cancerresearchuk.org/cancer-info/cancerstats/types/breast/inc...> (accessed 11.01.15).
-
- Beck A.P., Brooks A., Zeiss C.J. Invasive ductular carcinoma in 2 rhesus macaques (Macaca mulatta) Comp. Med. 2014;64(4):314–322. http://www.ncbi.nlm.nih.gov/pubmed/25296018 (accessed 11.01.15). - PMC - PubMed
-
- Organization W.H. Pathology and Genetics of Tumours of the Breast and Female Genital Organs. In: Tavassoli F.A., Devilee P., editors. 4th ed. IARC Press; Lyon, France: 2003. http://www.iarc.fr/en/publications/pdfs-online/pat-gen/bb4/BB4.pdf (accessed 11.01.15).
-
- Sanguinetti A., Ragusa M., Lucchini R., Monacelli M., Calzolari F. Primary breast lymphoma: case reports and review of the literature. G. Chir. 2008;29:230–232. - PubMed
LinkOut - more resources
Full Text Sources
Other Literature Sources
