Primary tumors of the patella
- PMID: 25906772
- PMCID: PMC4435649
- DOI: 10.1186/s12957-015-0573-y
Primary tumors of the patella
Abstract
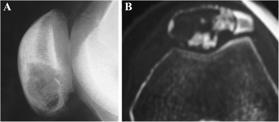
The patella is an uncommon location for cancerous occurrence and development. The majority of tumors of the patella are benign, with a significant incidence of giant cell tumors and chondroblastoma. With the development of modern diagnostic technologies, there appear however many other histological types which raise challenges of diagnosis and treatment. In this article, we review the reported histological types of primary patellar tumors. Specifically, epidemiology, symptomatology, imageology, histopathology, and treatment options for these histological lesions will be discussed, respectively. As there is an increasing focus on the diagnosis and the treatment of these lesions, the availability of the integrated information about primary patellar tumors becomes more significant.
Figures








References
-
- Yoshida Y, Kojima T, Taniguchi M, Osaka S, Tokuhashi Y. Giant-cell tumor of the patella. Acta Med Okayama. 2012;66:73–6. - PubMed
-
- Ofluoglu O, Donthineni R. Iatrogenic seeding of a giant cell tumor of the patella to the proximal tibia. Clin Orthop Relat Res. 2007;465:260–4. - PubMed
-
- Chakraverty G, Chakraverty U. Late presentation of G.C.T. of the patella. Internet J Orthopedic. Surgery. 2009;12:1.
Publication types
MeSH terms
LinkOut - more resources
Full Text Sources
Other Literature Sources
Medical
Research Materials