Skip to main page content
U.S. flag

An official website of the United States government

Dot gov

The .gov means it’s official.
Federal government websites often end in .gov or .mil. Before sharing sensitive information, make sure you’re on a federal government site.

Https

The site is secure.
The https:// ensures that you are connecting to the official website and that any information you provide is encrypted and transmitted securely.

Access keys NCBI Homepage MyNCBI Homepage Main Content Main Navigation
. 2010 Aug;3(4):388-92.
doi: 10.1093/ndtplus/sfq024. Epub 2010 Mar 14.

Adenovirus nephritis and obstructive uropathy in a renal transplant recipient: case report and literature review

Affiliations

Adenovirus nephritis and obstructive uropathy in a renal transplant recipient: case report and literature review

Luiz M Kolankiewicz et al. NDT Plus. 2010 Aug.

Abstract

We report an unusual case of adenoviral nephritis in a 45-year-old woman who presented with fever, gross haematuria, acute kidney injury and obstructive uropathy 17 months following renal transplantation. Adenoviral nephritis was confirmed with immunohistochemistry. We identified 10 other published cases of adenoviral nephritis proven by immunohistochemistry. Obstructive uropathy has been reported only once before in a renal transplant recipient with adenoviral nephritis. Contrary to other reports, this case series shows that renal function may not always recover to baseline following the acute adenoviral disease. Adenoviral nephritis should be considered in the renal transplant patient with fever, haematuria, acute kidney injury and hydronephrosis in both the early and late post-transplant periods.

Keywords: adenovirus nephritis; obstructive uropathy; renal transplant.

PubMed Disclaimer

Figures

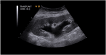
Fig. 1
Fig. 1
Renal transplant ultrasound. The renal ultrasound image shows the renal allograft in the right lower quadrant of the abdomen. The allograft measures 12.7 cm in the long axis and demonstrates moderate hydronephrosis.
Fig. 2
Fig. 2
Localization of adenoviral antigen in the renal allograft. (A) Renal allograft biopsy revealed interstitial nephritis, with numerous mildly atypical lymphocytes, focal necrosis and haemorrhage. Arrow indicates a tubular epithelial cell nucleus with apparent viral cytopathic changes. Haematoxylin and eosin, original magnification ×400. (B and C) Immunostaining for adenovirus antigens labelled several tubular cell nuclei and, more faintly, adjacent cytoplasm (dark brown diaminobenzidine product; haematoxylin counterstain; original magnification ×400).

References

    1. Myerowitz RL, Stalder H, Oxman MN, et al. Fatal disseminated adenovirus infection in a renal transplant recipient. Am J Med. 1975;59:591–598. - PubMed
    1. Ison MG. Adenovirus infections in transplant recipients. Clin Infect Dis. 2006;43:331–339. - PubMed
    1. Hofland CA, Eron LJ, Washecka RM. Hemorrhagic adenovirus cystitis after renal transplantation. Transplant Proc. 2004;36:3025–3027. - PubMed
    1. Barraclough K, Oliver K, Preston J, Campbell S, Eps CV, Isbel N. Life-threatening adenovirus infection in a kidney transplant recipient. NDT Plus. 2009;2:250–253. - PMC - PubMed
    1. Rosario RF, Kimbrough RC, Van Buren DH, et al. Fatal adenovirus serotype-5 in a deceased-donor renal transplant recipient. Transpl Infect Dis. 2006;8:54–57. - PubMed

LinkOut - more resources