Airway-centered interstitial fibrosis: etiology, clinical findings and prognosis
- PMID: 25956471
- PMCID: PMC4429710
- DOI: 10.1186/s12931-015-0213-7
Airway-centered interstitial fibrosis: etiology, clinical findings and prognosis
Abstract
Background: Airway-centered Interstitial Fibrosis (ACIF) is a common pathologic pattern observed in our practice.
Objectives: The objectives of this study are to describe the causes associated with ACIF in a large sample of patients and its effect on survival.
Methods: A retrospective study in three centers of interstitial lung disease in São Paulo, between January of 1995 and December of 2012. The surgical lung biopsy specimens were reviewed by three pathologists. The clinical, functional and tomographic findings were analyzed by a standardized protocol.
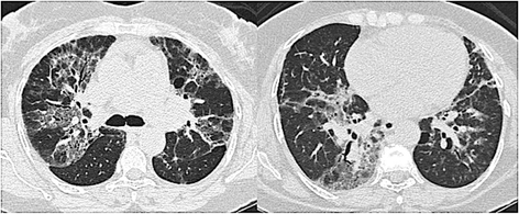
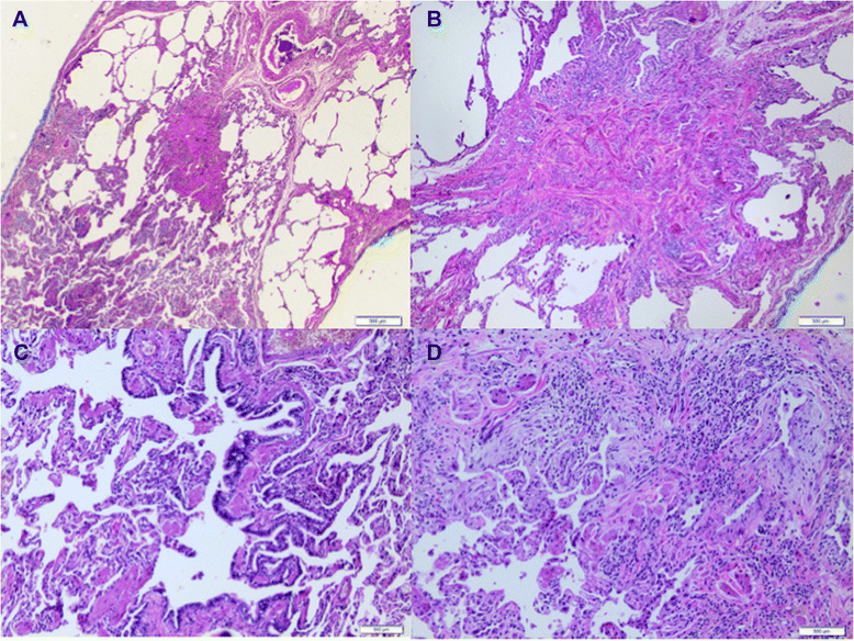
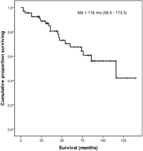
Results: There were 68 cases of ACIF, most of them women. The mean age was 57 ± 12 yr. Dyspnea, cough, restrictive pattern at spirometry and oxygen desaturation at exercise were common. A reticular pattern with peribronchovascular infiltrates was found in 79% of the cases. The etiologies of ACIF were hypersensitivity pneumonitis in 29 (42.6%), gastroesophageal reflux disease in 17 (25.0%), collagen vascular disease in 4 (5.9%), a combination of them in 15 cases and idiopathic in 3 (4.4%). The median survival was 116 months (95% CI = 58.5 - 173.5). Lower values of oxygen saturation at rest, presence of cough and some histological findings--organizing tissue in the airways, fibroblastic foci and microscopic honeycombing--were predictors of worse survival.
Conclusions: ACIF is an interstitial lung disease with a better survival when compared with IPF. The main etiologies are HP and GERD. The oxygen saturation at rest, the presence of cough and some histological findings are predictors of survival.
Figures




References
-
- American Thoraci Society; European Respiratory Society American Thoracic Society/European Respiratory Society international multidisciplinary consensus classification of the idiopathic interstitial pneumonias. Am J Respir Crit Care Med. 2002;165:277–304. doi: 10.1164/ajrccm.165.2.ats01. - DOI - PubMed
-
- Colby TV. Pathological approach to idiopathic interstitial pneumonias: useful points for clinicians. Breathe. 2004;1(1):43–9.
Publication types
MeSH terms
LinkOut - more resources
Full Text Sources
Other Literature Sources
Medical
Research Materials
Miscellaneous