Imaging of lung cancer: Implications on staging and management
- PMID: 25969634
- PMCID: PMC4419420
- DOI: 10.4103/0971-3026.155831
Imaging of lung cancer: Implications on staging and management
Abstract
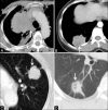
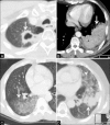
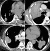
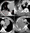
Lung cancer is one of the leading causes of cancer-related deaths. Accurate assessment of disease extent is important in deciding the optimal treatment approach. To play an important role in the multidisciplinary management of lung cancer patients, it is necessary that the radiologist understands the principles of staging and the implications of radiological findings on the various staging descriptors and eventual treatment decisions.
Keywords: Computed Tomography scan; Positron emission tomography-computed tomography; imaging; lung cancer; staging.
Conflict of interest statement
Figures

















References
-
- Mountain CF. Revisions in the international system for staging lung cancer. Chest. 1997;111:1710–7. - PubMed
-
- Ferlay J, Soerjomataram I, Ervik M, Dikshit R, Eser S, Mathers C, et al. Lyon, France: International Agency for Research on Cancer; 2013. [Last accessed on 2014 Jun 15]. GLOBOCAN 2012 v1.0, Cancer Incidence and Mortality Worldwide: IARC CancerBase No. 11. Available from: http://www.globocan.iarc.fr .
-
- Buccheri G, Ferrigno D. Lung cancer: Clinical presentation and specialist referral time. Eur Respir J. 2004;24:898–904. - PubMed
-
- Cancer facts and figures 2008. Atlanta, Ga: American Cancer Society; 2008. American Cancer Society.
-
- Goldstraw P, Crowley J, Chansky K, Giroux DJ, Groome PA, Rami-Porta R, et al. The IASLC lung cancer staging project: Proposals for the revision of the TNM stage groupings in the forthcoming (seventh) edition of the TNM classification of malignant tumours. J Thorac Oncol. 2007;2:706–14. - PubMed
LinkOut - more resources
Full Text Sources
Other Literature Sources