A rare coronary artery anomaly: origin of all three coronary arteries from the right sinus of valsalva
- PMID: 25973289
- PMCID: PMC4421887
- DOI: 10.4103/2156-7514.156137
A rare coronary artery anomaly: origin of all three coronary arteries from the right sinus of valsalva
Abstract
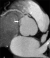
Left anterior descending (LAD) artery and left circumflex (LCx) coronary artery originating separately from the right sinus of valsalva is exceptionally rare and very few cases have been reported in the literature. Congenital coronary artery anomalies are generally incidental, uncommon, and asymptomatic. Some can cause severe potentially life-threatening symptoms such as myocardial ischemia and sudden cardiac death. The aberrant vessels that pass between the aorta and the pulmonary trunk pose a risk of sudden cardiac death, particularly if the vessel supplies the left coronary artery network. The electrocardiographically gated multi-detector computed tomography (MDCT) allows accurate and non-invasive depiction of coronary artery anomalies including origin, course, and termination. We report here a rare case of all three coronary arteries separately originating from the right coronary sinus, which was detected with MDCT.
Keywords: Anomalies; coronary artery; multidedector computed tomography.
Conflict of interest statement
Figures


References
-
- Kim SY, Seo JB, Do KH, Heo JN, Lee JS, Song JW, et al. Coronary artery anomalies: Classification and ECG-gated multi-dedector row CT findings with angiographic correlation. Radiographics. 2006;26:317–34. - PubMed
-
- Yamanaka O, Hobbs RE. Coronary artery anomalies in 126,595 patients undergoing coronary angiography. Cathet Cardiovasc Diag. 1990;21:28–48. - PubMed
-
- Albert CM, Mittleman MA, Chae CU, Lee IM, Hennekens CH, Manson JE. Triggerring of sudden death from cardiac causes by vigorous exertion. N Engl J Med. 2000;343:1355–61. - PubMed
-
- Pannu HK, Flohr TG, Corl FM, Fishman EK. Current concepts in multi-detector row CT evaluation of the coronary arteries: Principles, techniques, and anatomy. Radiographics. 2003;23:S111–25. - PubMed
-
- Cho HO, Cho KH, Jeong YS, Ahn SG, Choi SJ, Yoo JY. Anomalous origin of the left coronary artery from the right sinus of Valsalva, which presented as acute myocardial infarction. Korean Circulation J. 2006;36:817–9.
Publication types
LinkOut - more resources
Full Text Sources
Other Literature Sources