Skip to main page content
U.S. flag

An official website of the United States government

Dot gov

The .gov means it’s official.
Federal government websites often end in .gov or .mil. Before sharing sensitive information, make sure you’re on a federal government site.

Https

The site is secure.
The https:// ensures that you are connecting to the official website and that any information you provide is encrypted and transmitted securely.

Access keys NCBI Homepage MyNCBI Homepage Main Content Main Navigation
Case Reports
. 2015 May 14:2015:bcr2015208634.
doi: 10.1136/bcr-2014-208634.

Spontaneous rupture of a congenital diaphragmatic eventration in an infant

Affiliations
Case Reports

Spontaneous rupture of a congenital diaphragmatic eventration in an infant

Soumitra Saha et al. BMJ Case Rep. .

Abstract

Rupture of the diaphragm may be traumatic or spontaneous. A spontaneous rupture occurring in a congenital eventration of the diaphragm is extremely rare. Only one such case has been reported previously. We report a case of a 5-month-old male infant who presented with acute life-threatening respiratory distress secondary to spontaneous rupture of a congenital diaphragmatic eventration.

PubMed Disclaimer

Figures

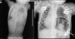
Figure 1
Figure 1
Chest X-ray (A) at presentation and (B) after ventilation.
Figure 2
Figure 2
Intraoperative images. (A) Defect in diaphragm (white arrow) after reducing the contents. (B) Image of the floppy left sided diaphragm, which was delivered out after reducing the content (black arrow showing site of diaphragmatic rupture). (C) Excised thinned out diaphragm with site of rupture. (D) Healthy margins (arrow) of diaphragm after excision of thin part.
Figure 3
Figure 3
(A) Postoperative chest X-ray. (B) Chest X-ray at discharge.

References

    1. Gun F, Gunendi T, Erginel B et al. . Rupture of a congenital diaphragmatic eventration in a child: report of a case. Surg Today 2011;41:1630–2. 10.1007/s00595-010-4475-x - DOI - PubMed
    1. Lone RA, Sharma ML, Wani M et al. . Traumatic diaphragmatic rupture, a diagnostic dilemma in the presence of eventration: a case report. Cases J 2009;2:6615 10.4076/1757-1626-2-6615 - DOI - PMC - PubMed
    1. Dutta T. Spontaneous rupture of diaphragm due to pertussis. J Pediatr Surg 1975;10:147–8. 10.1016/S0022-3468(75)80027-3 - DOI - PubMed
    1. Heuckmann LKP, Schleef J, Uekotter J. Diaphragmatic rupture in pertussis. Monatsschr Kinderheilkd 1996;144:259–62.
    1. Akbar A, Parikh DH, Alton H et al. . Spontaneous rupture of the diaphragm. Arch Dis Child 1999;81:341–2. 10.1136/adc.81.4.341 - DOI - PMC - PubMed

Publication types