Donor-derived myeloid sarcoma in two kidney transplant recipients from a single donor
- PMID: 25977825
- PMCID: PMC4419238
- DOI: 10.1155/2015/821346
Donor-derived myeloid sarcoma in two kidney transplant recipients from a single donor
Abstract
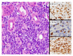
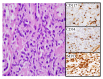
We report the rare occurrence of donor-derived myeloid sarcoma in two kidney transplant patients who received organs from a single deceased donor. There was no evidence of preexisting hematologic malignancy in the donor at the time of organ recovery. Both recipients developed leukemic involvement that appeared to be limited to the transplanted organ. Fluorescence in situ hybridization (FISH) and molecular genotyping analyses confirmed that the malignant cells were of donor origin in each patient. Allograft nephrectomy and immediate withdrawal of immunosuppression were performed in both cases; systemic chemotherapy was subsequently administered to one patient. Both recipients were in remission at least one year following the diagnosis of donor-derived myeloid sarcoma. These cases suggest that restoration of the immune system after withdrawal of immunosuppressive therapy and allograft nephrectomy may be sufficient to control HLA-mismatched donor-derived myeloid sarcoma without systemic involvement.
Figures



References
LinkOut - more resources
Full Text Sources
Other Literature Sources
Research Materials