Adult langerhans cell histiocytosis with hepatic and pulmonary involvement
- PMID: 25977828
- PMCID: PMC4419232
- DOI: 10.1155/2015/536328
Adult langerhans cell histiocytosis with hepatic and pulmonary involvement
Abstract
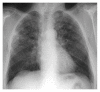
Langerhans cell histiocytosis (LCH) is a rare proliferative disorder of Langerhans cells of unknown etiology. It can involve multiple organ systems with different clinical presentation, which complicates the diagnosis. It can range from isolated to multisystem disease with different prognosis. Although common among children, liver involvement is relatively rare in adults and frequently overlooked. Natural history of liver LCH fits into two stages: an early stage with infiltration by histiocytes and a late stage with sclerosis of the biliary tree. Pulmonary findings are more common and include multiple nodules in different stages of cavitation, predominantly in the upper lobes. We present a case of adult LCH with pulmonary and biopsy proven liver involvement with resolution of the hepatic findings after treatment.
Figures
References
LinkOut - more resources
Full Text Sources
Other Literature Sources
