Imaging of physeal injury: overuse
- PMID: 25984260
- PMCID: PMC4332644
- DOI: 10.1177/1941738114559380
Imaging of physeal injury: overuse
Abstract
Context: As the intensity of youth participation in athletic activities continues to rise, the number of overuse injuries has also increased. A subset of overuse injuries involves the physis, which is extremely susceptible to injury. This paper aims to review the utility of the various imaging modalities in the diagnosis and management of physeal injuries in the skeletally immature population.
Evidence acquisition: A search for the keywords pediatric, physis, growth plate, x-ray, computed tomography, magnetic resonance imaging, and overuse injury was performed using the PubMed database. No limits were set for the years of publication. Articles were reviewed for relevance with an emphasis on the imaging of growth plate injuries.
Study design: Retrospective literature review.
Level of evidence: Level 4.
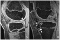
Results: Three major imaging modalities (radiographs, computed tomography, and magnetic resonance imaging) complement each other in the evaluation of pediatric patients with overuse injuries. However, magnetic resonance imaging is the only modality that offers direct visualization of the physis, and it also offers the best soft tissue contrast for evaluating the other periarticular structures for concomitant injury.
Conclusion: Imaging has an important role in the diagnosis of physeal injuries, and the information it provides has a tremendous impact on the subsequent management of these patients.
Keywords: computed tomography; magnetic resonance imaging; overuse injuries; physis.
Conflict of interest statement
The authors report no potential conflicts of interest in the development and publication of this article.
Figures

















References
-
- Alberty A, Peltonen J. Proliferation of the hypertrophic chondrocytes of the growth plate after physeal distraction. An experimental study in rabbits. Clin Orthop Relat Res. 1993;(297):7-11. - PubMed
-
- Apte SS, Kenwright J. Physeal distraction and cell proliferation in the growth plate. J Bone Joint Surg Br. 1994;76:837-843. - PubMed
-
- Basener CJ, Mehlman CT, DiPasquale TG. Growth disturbance after distal femoral growth plate fractures in children: a meta-analysis. J Orthop Trauma. 2009;23:663-667. - PubMed
-
- Borsa JJ, Peterson HA, Ehman RL. MR imaging of physeal bars. Radiology. 1996;199:683-687. - PubMed
-
- Carson WG, Jr, Gasser SI. Little Leaguer’s shoulder. A report of 23 cases. Am J Sports Med. 1998;26:575-580. - PubMed
LinkOut - more resources
Full Text Sources
Other Literature Sources
Research Materials