Skip to main page content
U.S. flag

An official website of the United States government

Dot gov

The .gov means it’s official.
Federal government websites often end in .gov or .mil. Before sharing sensitive information, make sure you’re on a federal government site.

Https

The site is secure.
The https:// ensures that you are connecting to the official website and that any information you provide is encrypted and transmitted securely.

Access keys NCBI Homepage MyNCBI Homepage Main Content Main Navigation
. 2015 Apr 13;7(3):57-70.
eCollection 2014 Jul-Sep.

CEREC CAD/CAM Chairside System

Affiliations

CEREC CAD/CAM Chairside System

G Sannino et al. Oral Implantol (Rome). .

Abstract

Purpose: The aim of this paper was to describe the CEREC 3 chairside system, providing the clinicians a detailed analysis of the whole digital workflow. Benefits and limitations of this technology compared with the conventional prosthetic work-flow were also highlighted and discussed.

Materials and methods: Clinical procedures (tooth preparation, impression taking, adhesive luting), operational components and their capabilities as well as restorative materials used with CEREC 3 chairside system were reported.

Results: The CEREC system has shown many positive aspects that make easier, faster and less expensive the prosthetic workflow. The operator-dependent errors are minimized compared to the conventional prosthetic protocol. Furthermore, a better acceptance level for the impression procedure has shown by the patients. The only drawback could be the subgingival placement of the margins compared with the supra/juxta gingival margins, since more time was required for the impression taking as well as the adhesive luting phase. The biocopy project seemed to be the best tool to obtain functionalized surfaces and keep unchanged gnathological data. Material selection was related to type of restoration.

Conclusions: The evidence of our clinical practice suggests that CEREC 3 chairside system allows to produce highly aesthetic and reliable restorations in a single visit, while minimizing costs and patient discomfort during prosthetic treatment. However improvements in materials and technologies are needed in order to overcome the actual drawbacks.

Keywords: CAD/CAM; CEREC; adhesive luting; all-ceramic; chairside; metal-free; optical impression.

PubMed Disclaimer

Figures

Figure 1
Figure 1
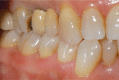
Lateral view of the initial clinical situation. Tooth N. 16 showed a substantial loss of structure resulting from caries; tooth N. 15 needed to be extracted due to a periodontal lesion.
Figure 2 A, B, C
Figure 2 A, B, C
Teeth preparation. Supra-gingival (tooth N. 13) and juxta-gingival (tooth N. 16) margin placement. A) Lateral view. B) Occlusal view. C) A higher magnification of the preparation (tooth N. 13).
Figure 3 A, B
Figure 3 A, B
CAD model generated by the optical impression. Determination of the preparation line. A) Screenshot of the lateral view. B) Screenshot of the occlusal view.
Figure 4 A, B, C
Figure 4 A, B, C
Processing of the bridge in the CAD module. Manual modification of the size and shape of the connector regions with specific toolbar. A) Screenshot of the lateral view. B) Screen-shot of the occlusal view. C) Screenshot of the inter-occlusal relationship.
Figure 5 A, B, C
Figure 5 A, B, C
A) The IPS e.max CAD block was milled in the “blue,” softer state. This allows the milling unit to mill this material without too much effort. B) After milling, the crown was customized using laboratory burs and was stained and glazed. C) After placing the restoration in the oven for approximately 15 minutes, the final shade was shown.
Figure 6 A, B, C
Figure 6 A, B, C
Placement of the lithium disilicate bridge after try-in. Only limited adjustments were needed prior to adhesive luting. A) Lateral view. B) Occlusal view. C) Inter-occlusal relationship.
Figure 7 A, B
Figure 7 A, B
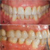
Monolithic CAD/CAM lithium disilicate glass-ceramic bridge (IPS e.max CAD, Ivoclar Vivadent AG, Schaan, Liechtenstein) at the one-year recall. The perfect soft and hard tissue integration made the restoration indistinguishable from the neighboring dentition and the patient was extremely pleased with the final result. A) Frontal view. B) Lateral view.

References

    1. Miyazaki T, Hotta Y, Kunii J, Kuriyama S, Tamaki Y. A review of dental CAD/CAM: current status and future perspectives from 20 years of experience. Dent Mater J. 2009;28(1):44–56. - PubMed
    1. Mörmann WH, Krejci I. Computer-designed inlays after 5 years in situ: clinical performance and scanning electron microscopic evaluation. Quintessence Int. 1992;23:109–15. - PubMed
    1. Mörmann WH. The origin of the Cerec method: a personal review of the first 5 years. Int J Comput Dent. 2004;7(1):11–24. - PubMed
    1. Mörmann WH. The evolution of the CEREC system. J Am Dent Assoc. 2006;137(Suppl):7S–13S. - PubMed
    1. Harsono M, Simon JF, Stein JM, Kugel G. Evolution of chairside CAD/CAM dentistry. Tex Dent J. 2013;130(3):238–44. - PubMed

LinkOut - more resources