Epilepsy, cognitive deficits and neuroanatomy in males with ZDHHC9 mutations
- PMID: 26000327
- PMCID: PMC4435709
- DOI: 10.1002/acn3.196
Epilepsy, cognitive deficits and neuroanatomy in males with ZDHHC9 mutations
Abstract
Objective: Systematic investigation of individuals with intellectual disability after genetic diagnosis can illuminate specific phenotypes and mechanisms relevant to common neurodevelopmental disorders. We report the neurological, cognitive and neuroanatomical characteristics of nine males from three families with loss-of-function mutations in ZDHHC9 (OMIM #300799).
Methods: All known cases of X-linked intellectual disability (XLID) due to ZDHHC9 mutation in the United Kingdom were invited to participate in a study of neurocognitive and neuroimaging phenotypes.
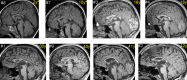
Results: Seven out of nine males with ZDHHC9 mutations had been diagnosed with epilepsy, exceeding epilepsy risk in XLID comparison subjects (P = 0.01). Seizure histories and EEG features amongst ZDHHC9 mutation cases shared characteristics with rolandic epilepsy (RE). Specific cognitive deficits differentiated males with ZDHHC9 mutations from XLID comparison subjects and converged with reported linguistic and nonlinguistic deficits in idiopathic RE: impaired oromotor control, reduced verbal fluency, and impaired inhibitory control on visual attention tasks. Consistent neuroanatomical abnormalities included thalamic and striatal volume reductions and hypoplasia of the corpus callosum.
Interpretation: Mutations in ZDHHC9 are associated with susceptibility to focal seizures and specific cognitive impairments intersecting with the RE spectrum. Neurocognitive deficits are accompanied by consistent abnormalities of subcortical structures and inter-hemispheric connectivity. The biochemical, cellular and network-level mechanisms responsible for the ZDHHC9-associated neurocognitive phenotype may be relevant to cognitive outcomes in RE.
Figures





References
Grants and funding
LinkOut - more resources
Full Text Sources
Other Literature Sources