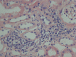
Peculiarly progressive tetraplegia
- PMID: 26019855
- PMCID: PMC4432457
- DOI: 10.1093/ckj/sft023
Peculiarly progressive tetraplegia
Keywords: K+/H+ ATPase pump; autoimmunity; carbonic anhydrase; hypokalaemia; metabolic acidosis; respiratory acidosis.
Figures
References
-
- Rhee EP, Scott JA, Dighe AS. A 37-year-old man with muscle pain, weakness, and weight loss. N Engl J Med. 2012;366:553–560. - PubMed
-
- Batlle D, Moorthi KM, Schlueter W, et al. Distal renal tubular acidosis and the potassium enigma. Semin Nephrol. 2006;26:471–478. - PubMed
-
- Pertovaara M, Bootorabi F, Kuuslahti M, et al. Novel carbonic anhydrase autoantibodies and renal manifestations in patients with primary Sjogren's syndrome. Rheumatology. 2011;50:1453–1457. - PubMed
-
- Rehman HU. A woman with generalised weakness, hypokalaemia, and metabolic acidosis. BMJ. 2012;344:e2545. - PubMed
LinkOut - more resources
Full Text Sources
Other Literature Sources
