Occupational and environmental bronchiolar disorders
- PMID: 26024345
- PMCID: PMC4610354
- DOI: 10.1055/s-0035-1549452
Occupational and environmental bronchiolar disorders
Abstract
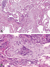
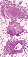
Occupational and environmental causes of bronchiolar disorders are recognized on the basis of case reports, case series, and, less commonly, epidemiologic investigations. Pathology may be limited to the bronchioles or also involve other components of the respiratory tract, including the alveoli. A range of clinical, functional, and radiographic findings, including symptomatic disease lacking abnormalities on noninvasive testing, poses a diagnostic challenge and highlights the value of surgical biopsy. Disease clusters in workplaces and communities have identified new etiologies, drawn attention to indolent disease that may otherwise have been categorized as idiopathic, and expanded the spectrum of histopathologic responses to an exposure. More sensitive noninvasive diagnostic tools, evidence-based therapies, and ongoing epidemiologic investigation of at-risk populations are needed to identify, treat, and prevent exposure-related bronchiolar disorders.
Thieme Medical Publishers 333 Seventh Avenue, New York, NY 10001, USA.
Figures
References
-
- Ryu JH, Myers JL, Swensen SJ. Bronchiolar disorders. Am J Respir Crit Care Med. 2003;168(11):1277–1292. - PubMed
-
- Visscher DW, Myers JL. Bronchiolitis: the pathologist’s perspective. Proc Am Thorac Soc. 2006;3(1):41–47. - PubMed
-
- Couture C, Colby TV. Histopathology of bronchiolar disorders. Semin Respir Crit Care Med. 2003;24(5):489–498. - PubMed
-
- Poletti V, Costabel U. Bronchiolar disorders: classification and diagnostic approach. Semin Respir Crit Care Med. 2003;24(5):457–464. - PubMed
-
- Timens W, Sietsma H, Wright JL. Chronic obstructive pulmonary disease and diseases of the airways. In: Hastleton P, Flieder DB, editors. Spenser’s Pathology of the Lung. 6th ed. Cambridge: Cambridge University Press; 2013. pp. 605–660.
Publication types
MeSH terms
Grants and funding
LinkOut - more resources
Full Text Sources
Other Literature Sources
Medical
