Postmenopausal Meigs' Syndrome in Elevated CA-125: A Case Report
- PMID: 26046039
- PMCID: PMC4452815
- DOI: 10.6118/jmm.2015.21.1.56
Postmenopausal Meigs' Syndrome in Elevated CA-125: A Case Report
Abstract
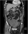
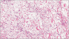
Meigs' syndrome is a benign ovarian tumor associated with ascites and pleural effusion. Elevated cancer antigen 125 (CA-125) in Meigs' syndrome is an unusual clinical condition reported in few cases. We report here on a 61-year-old woman who presented with dyspnea; in imaging assessment, a heterogeneous pelvic mass measuring 12 × 11 cm with ascitic fluid was reported. Pleural effusion was detected on Chest X-ray. Aspiration of pleural fluid showed no evidence of malignancy. CA-125 level was 347 IU/mL. The patient underwent laparotomy during which a mass measuring 12 × 11 cm was detected in her left adnexa. Histology showed ovarian thecoma. The mass was resected, and, after that, the symptoms disappeared and CA-125 level reached 19 IU/mL. The patient had experienced no problem after 12 months of follow up. Although postmenopausal women with ovarian tumor, ascites, pleural effusion, and elevation of CA-125 levels probably have malignant ovarian tumors, Meigs' syndrome must be considered in the differential diagnosis.
Keywords: CA-125; Meigs syndrome; Pleural effusion.
Conflict of interest statement
Figures



References
-
- Parkin DM, Bray F, Ferlay J, Pisani P. Global cancer statistics, 2002. CA Cancer J Clin. 2005;55:74–108. - PubMed
-
- Meigs JV. Fibroma of the ovary with ascites and hydrothorax; Meig's syndrome. Am J Obstet Gynecol. 1954;67:962–985. - PubMed
-
- Turan YH, Demirel LC, Ortaç F. Elevated CA 125 in Meigs syndrome. Int J Gynaecol Obstet. 1993;43:64–65. - PubMed
-
- Abramov Y, Anteby SO, Fasouliotis SJ, Barak V. The role of inflammatory cytokines in Meigs' syndrome. Obstet Gynecol. 2002;99:917–919. - PubMed
Publication types
LinkOut - more resources
Full Text Sources
Other Literature Sources
Research Materials
Miscellaneous