Temporoparietal Headache as the Initial Presenting Symptom of a Massive Aortic Dissection
- PMID: 26064702
- PMCID: PMC4438158
- DOI: 10.1155/2015/626825
Temporoparietal Headache as the Initial Presenting Symptom of a Massive Aortic Dissection
Abstract
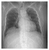
Aortic dissection is a life-threatening medical emergency often presenting with severe chest pain and acute hemodynamic compromise. The presentation of aortic dissection can sometimes be different thus leading to a challenge in prompt diagnosis and treatment as demonstrated by the following presentation and discussion. We present a case of a 71-year-old male who presented to the emergency department with complaints of left sided temporoparietal headache and was eventually diagnosed with a thoracic aortic dissection involving the ascending aorta and descending aorta, with an intramural hematoma in the descending aorta. This case illustrates the importance of keeping in mind aortic dissection as a differential diagnosis in patients with acute onset headaches in which any intracranial source of headache is not found.
Figures
References
LinkOut - more resources
Full Text Sources
Other Literature Sources
