Phyllodes tumor of the verumontanum: a case report
- PMID: 26077031
- PMCID: PMC4467074
- DOI: 10.1186/s13000-015-0314-0
Phyllodes tumor of the verumontanum: a case report
Abstract
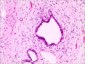
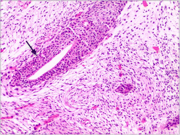
The current report presents the case of a 42-year-old male with extraordinarily salient urination difficulty that had lasted 6 months. Transrectal ultrasonography and pelvic magnetic resonance imaging demonstrated prostatic hyperplasia and cyst. PSA level was 20.65 (>4) μg/L in the patient. Transrectal prostatic biopsy revealed benign prostatic hyperplasia. He agreed to receive plasmakinetic resection of the prostate. During operation a lobulated lump was unexpectedly found on the verumontanum, with the prostate macroscopically normal. Complete tumor excision was performed and pathological assessment indicated phyllodes tumor of the verumontanum. The patient had an uneventful post-operative course and recovered well. The diagnosis, histological classification, treatment, and prognosis of this case are presented. It is necessary to perform cystoscopy to exclude verumontanum tumor even when all imaging examinations indicate prostate hyperplasia, especially in young males. Virtual slides: The virtual slide(s) for this article can be found here: http://www.diagnosticpathology.diagnomx.eu/vs/1868931661161758.
Figures







References
Publication types
MeSH terms
Substances
Supplementary concepts
LinkOut - more resources
Full Text Sources
Other Literature Sources
Medical
Research Materials
Miscellaneous