Sarcoidosis in Melanoma Patients: Case Report and Literature Review
- PMID: 26083934
- PMCID: PMC4491696
- DOI: 10.3390/cancers7020821
Sarcoidosis in Melanoma Patients: Case Report and Literature Review
Abstract
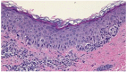
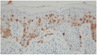
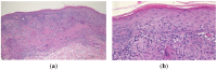
Sarcoidosis is a systemic inflammatory disease characterized by the development of noncaseating granulomas in multiple organ systems. Many hematologic malignancies and solid tumors, including melanoma, have been associated with sarcoidosis. We describe the clinical and pathologic findings of a 54-year-old man with melanoma-associated sarcoidosis. In addition, we not only review the literature describing characteristics of other melanoma patients with sarcoidosis, but also the features of melanoma patients with antineoplastic therapy-associated sarcoidosis. Sarcoidosis has been described in 80 melanoma patients; sufficient information for analysis was provided in 39 of these individuals. In 43.6% of individuals (17 out of 39), sarcoidosis was directly associated with melanoma; in 56.4% of oncologic patients (22 out of 39), sarcoidosis was induced by antineoplastic therapy that had been administered for the treatment of their metastatic melanoma. The discovery of melanoma preceded the development of sarcoidosis in 12 of the 17 (70.5%) individuals who did not receive systemic treatment. Pulmonary and/or cutaneous manifestations of sarcoidosis were common among both groups of patients. Most patients did not require treatment for sarcoidosis. Melanoma patients-either following antineoplastic therapy or without systemic treatment-may be at an increased risk to develop sarcoidosis. In antineoplastic therapy naive melanoma patients, a common etiologic factor-such as exposure to ultraviolet light-may play a role in their developing melanoma and sarcoidosis.
Keywords: cancer; cutaneous; malignancy; melanoma; sarcoid; sarcoidosis; solid tumors.
Figures





References
-
- Sharma O.P. Sarcoidosis of the skin. In: Freedberg I.M., Fitzpatrick T.B., editors. Fitzpatrick’s Dermatology in General Medicine. 5th ed. McGraw-Hill; New York, NY, USA: 1999. pp. 2099–2106.
-
- Blake T., Manahan M., Rodins K. Erythema nodosum—A review of an uncommon panniculitis. Dermatol. Online J. 2014;20:22376. - PubMed
-
- Tchernev G., Cardoso J.C., Chokoeva A.A., Verma S.B., Tana C., Ananiev J., Gulubova M., Philipov S., Kanazawa N., Nenoff P., et al. The “mystery” of cutaneous sarcoidosis: Facts and controversies. Int. J. Immunopathol. Pharmacol. 2014;27:321–330. - PubMed
Publication types
LinkOut - more resources
Full Text Sources
Other Literature Sources