Skip to main page content
U.S. flag

An official website of the United States government

Dot gov

The .gov means it’s official.
Federal government websites often end in .gov or .mil. Before sharing sensitive information, make sure you’re on a federal government site.

Https

The site is secure.
The https:// ensures that you are connecting to the official website and that any information you provide is encrypted and transmitted securely.

Access keys NCBI Homepage MyNCBI Homepage Main Content Main Navigation
Case Reports
. 2011 Jul-Dec;2(2):105-8.
doi: 10.4103/0974-1216.114162.

Herlyn-Werner-Wunderlich Syndrome Complicated with Pyocolpos: An Unusual Cause of Postabortal Sepsis

Affiliations
Case Reports

Herlyn-Werner-Wunderlich Syndrome Complicated with Pyocolpos: An Unusual Cause of Postabortal Sepsis

Deepti Sharma et al. J Gynecol Endosc Surg. 2011 Jul-Dec.

Abstract

Obstructive mullerian anomalies give rise to a spectrum of clinical presentations and are uncommon in routine gynecologic practice. The patient usually becomes symptomatic in early reproductive years. Recurrent pelvic pain, dysmenorrhea, enlarging abdominopelvic mass, and abnormal vaginal discharge are the common presenting symptoms. We describe a rare case of a mullerian anomaly getting diagnosed 13 years after attaining menarche during the evaluation of postabortal sepsis. Patient presented 2 weeks following evacuation carried out for missed abortion, with acute abdominal pain, fever and foul smelling discharge per vaginum. The anomaly was identified as uterus didelphys with obstructed left hemivagina and ipsilateral renal agenesis (Herlyn-Werner-Wunderlich syndrome) complicated by pyocolpos. She was successfully managed by single-stage transvaginal septum resection under laparoscopic control.

Keywords: Diagnostic laparoscopy; Herlyn-Werner-Wunderlich syndrome; pyocolpos.

PubMed Disclaimer

Conflict of interest statement

Conflict of Interest: None declared.

Figures

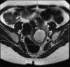
Figure 1a
Figure 1a
MRI pelvis (axial image) – Uterus didelphys, normal endometrial cavity, normal ovaries, with large collection in left hemivagina
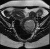
Figure 1b
Figure 1b
Open arrow showing communication of collection with left uterine body
Figure 1c
Figure 1c
Coronal image – Collection compressing the normal patent vagina on right side (open arrow)
Figure 2a
Figure 2a
Laparoscopic view – Both uterine bodies with adnexa are normal. No pelvic collection or purulent exudate through the tubes
Figure 2b
Figure 2b
Posterior view of the collection
Figure 3
Figure 3
Anatomical limits of collection identified in relation to the bladder

References

    1. Dhar H, Razek YA, Hamdi I. Uterus didelphys with obstructed right hemivagina, ipsilateral renal agenesis and right pyocolpos: A case report. Oman Med J. 2011;26:447–50. - PMC - PubMed
    1. Burgis J. Obstructive Müllerian anomalies: Case report, diagnosis, and management. Am J Obstet Gynecol. 2001;185:338–44. - PubMed
    1. Jindal G, Kachhawa S, Meena GL, Dhakar G. Uterus didelphys with unilateral obstructed hemivagina with hematometrocolpos and hematosalpinx with ipsilateral renal agenesis. J Hum Reprod Sci. 2009;2:87–9. - PMC - PubMed
    1. Gholoum S, Puligandla PS, Hui T, Su W, Quiros E, Laberge JM. Management and outcome of patients with combined vaginal septum, bifid uterus, and ipsilateral renal agenesis (Herlyn-Werner-Wunderlich syndrome) J Pediatr Surg. 2006;41:987–92. - PubMed
    1. Orazi C, Lucchetti MC, Schingo PM, Marchetti P, Ferro F. Herlyn-Werner-Wunderlich syndrome: Uterus didelphys, blind hemivagina and ipsilateral renal agenesis. Sonographic and MR findings in 11 cases. Pediatr Radiol. 2007;37:657–65. - PubMed

Publication types

LinkOut - more resources