Food Particle Aspiration Associated with Hemorrhagic Shock: A Diagnostic Dilemma
- PMID: 26090241
- PMCID: PMC4452298
- DOI: 10.1155/2015/275497
Food Particle Aspiration Associated with Hemorrhagic Shock: A Diagnostic Dilemma
Abstract
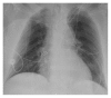
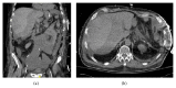
The hemodynamic compromise caused by a large aspirated food particle in the airway can become the focus of medical attention and a distraction from rare but fatal Heimlich maneuver related injuries after an incident of food aspiration. We herein present a case of an 84-year-old man who was brought to the emergency department after an episode of choking at a restaurant followed by several failed Heimlich maneuver attempts. Despite relieving the airway obstruction by extracting a large piece of steak from the airway, the patient remained hypotensive and required continued hemodynamic support. Repeated laboratory tests within 24 hrs of aspiration showed a significant decline in the hemoglobin level. A computed tomography (CT) scan of the abdomen and pelvis showed a lacerated liver with a large subcapsular hematoma draining into the pelvis. Conclusion. Hepatic rupture is a rare complication of Heimlich maneuver; this paper represents the second case report in the literature. It emphasizes the necessity of early identification and surveillance of fatal Heimlich maneuver complications in a high risk population.
Figures




References
-
- The National Safety Council. 2009, http://www.nsc.org/research/odds.aspx.
-
- Heimlich H. J., Patrick E. A. The Heimlich maneuver. Best technique for saving any choking victim's life. Postgraduate Medicine. 1990;87(6):38–48. - PubMed
-
- Ujjin V., Ratanasit S., Nagendran T. Diaphragmatic hernia as a complication of the Heimlich maneuver. International Surgery. 1984;69(2):175–176. - PubMed
LinkOut - more resources
Full Text Sources
Other Literature Sources