Pleomorphic adenoma of the buccal salivary gland
- PMID: 26097328
- PMCID: PMC4451658
- DOI: 10.4103/0973-029X.157222
Pleomorphic adenoma of the buccal salivary gland
Abstract
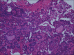
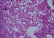
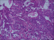
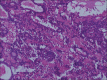
Salivary gland swellings can result from tumors, an inflammatory process or cysts. It can sometimes be difficult to establish; whether pathology arises from the salivary gland itself or adjacent structures. Neoplasms of the salivary glands account for less than 1% of all tumors, 3-5% of all head and neck tumors and benign pleomorphic adenoma (PA) of minor salivary glands arising de novo is very rare. PA is the most common tumor of the salivary gland. While the majority arises from the parotid gland, only a small percentage arises from the buccal minor salivary gland. A case of PA of minor salivary glands in the buccal mucosa in a 70-year-old female is discussed. It includes review of literature, clinical features, histopathology, radiological findings and treatment of the tumor; with emphasis on diagnosis.
Keywords: Buccal minor salivary gland; chondromyxoid stroma; pleomorphic adenoma.
Conflict of interest statement
Figures
References
-
- Greenberg M, Glick M. Burket's Oral Medicine. 11th ed. Philadelphia: Lippincott; 2008. p. 172.
-
- Rajendran R. Tumors of the Salivary Glands. In: Rajendran R, Sivapathasundaram B, editors. Shafer's Text Book of Oral Pathology. 5th ed. New Delhi: Elsevier; 2006. pp. 311–6.
-
- Carlson ER, Ord RA. 1st ed. USA: Wiley-Blackwell; 2008. Textbook and Color Atlas of Salivary Gland Pathology Diagnosis and Management; p. 228.
-
- Nanci A. 8th ed. St. Louis: Missouri Mosby an Imprint of Elsevier; 2013. Tencate's Oral histology- Development, Structure and Function; p. 276.
-
- Klijanienko J, Vielh P, Batsakis JG. Salivary Gland Tumours. 1st ed. Vol. 15. New Delhi: Karger Publishers; 2000. p. 10. - PubMed
