Ruptured ovarian pregnancy in a primigravida
- PMID: 26097828
- PMCID: PMC4456894
- DOI: 10.4103/2229-516X.157175
Ruptured ovarian pregnancy in a primigravida
Abstract
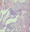
Primary ovarian ectopic pregnancy is a rare entity and is associated with rupture very early in the gestation. We present a case of ovarian pregnancy in a primi gravida, which ruptured relatively late in the first trimester. The patient did not have any predisposing factors for ovarian pregnancy. The case was managed laparoscopically, and the diagnosis was based on surgical and histopathological findings.
Keywords: Predisposing factors; primi gravida; ruptured ovarian pregnancy.
Conflict of interest statement
 
Figures
 
              
              
              
              
                
                
                 
              
              
              
              
                
                
                 
              
              
              
              
                
                
                References
- 
    - Gerin-Lajoie L. Ovarian pregnancy. Am J Obstet Gynecol. 1951;62:920–9. - PubMed
 
- 
    - Mehmood SA, Thomas JA. Primary ectopic ovarian pregnancy (report of three cases) J Postgrad Med. 1985;31:219–22. - PubMed
 
- 
    - De Seta F, Baraggino E, Strazzanti C, De Santo D, Tracanzan G, Guaschino S. Ovarian pregnancy: A case report. Acta Obstet Gynecol Scand. 2001;80:661–2. - PubMed
 
- 
    - Nadarajah S, Sim LN, Loh SF. Laparoscopic management of an ovarian pregnancy. Singapore Med J. 2002;43:095–6. - PubMed
 
 
        