Multiple synchronous sites of origin of vestibular schwannomas in neurofibromatosis Type 2
- PMID: 26104281
- PMCID: PMC4518745
- DOI: 10.1136/jmedgenet-2015-103050
Multiple synchronous sites of origin of vestibular schwannomas in neurofibromatosis Type 2
Abstract
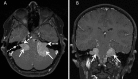
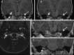
Background: Neurofibromatosis Type 2 (NF2) is a dominantly inherited tumour syndrome with a phenotype which includes bilateral vestibular (eighth cranial nerve) schwannomas. Conventional thinking suggests that these tumours originate at a single point along the superior division of the eighth nerve.
Methods: High resolution MRI was performed in children genetically proven to have NF2. The superior vestibular nerve (SVN) and inferior vestibular nerve (IVN) were visualised along their course with points of tumour origin calculated as a percentage relative to the length of the nerve.
Results: Out of 41 patients assessed, 7 patients had no identifiable eighth cranial nerve disease. In 16 patients there was complete filling of the internal auditory meatus by a tumour mass such that its specific neural origin could not be determined. In the remaining 18 cases, 86 discrete separate foci of tumour origin on the SVN or IVN could be identified including 23 tumours on the right SVN, 26 tumours on the right IVN, 18 tumours on the left SVN and 19 tumours on the left IVN.
Discussion: This study, examining the origins of vestibular schwannomas in NF2, refutes their origin as being from a single site on the transition zone of the superior division of the vestibular nerve. We hypothesise a relationship between the number of tumour foci, tumour biology and aggressiveness of disease. The development of targeted drug therapies in addition to bevacizumab are therefore essential to improve prognosis and quality of life in patients with NF2 given the shortcomings of surgery and radiation treatments when dealing with the multifocality of the disease.
Keywords: Cancer: CNS; Cancer: head and neck; Clinical genetics; Diagnostics; Neurology.
Published by the BMJ Publishing Group Limited. For permission to use (where not already granted under a licence) please go to http://group.bmj.com/group/rights-licensing/permissions.
Figures




References
-
- Lloyd SKW, Evans DGR. Neurofibromatosis type 2 (NF2): diagnosis and management. In: Koike H, Sobue G eds Handbook of clinical neurology. Vol 115 Amsterdam, NL: Elsevier, 2013:957–67. - PubMed
Publication types
MeSH terms
Grants and funding
LinkOut - more resources
Full Text Sources
Other Literature Sources
Medical
Research Materials
Miscellaneous