Wait!!! No Steroids for this Asthma…
- PMID: 26114594
- PMCID: PMC4484613
- DOI: 10.12659/AJCR.893729
Wait!!! No Steroids for this Asthma…
Abstract
Background: Strongyloides stercoralis (SS) is a parasite seen in certain parts of the USA and in people from other endemic areas. In these patients steroids might precipitate or exacerbate asthma. Apart from worsening of asthma, serious complications like hyperinfection syndrome and even death can occur in these patients if treated with steroids. Treatment is either ivermectin or albendazole based on severity of the disease. Clinicians have to be very careful when prescribing steroids in patients presenting with an exacerbation of asthma from areas endemic for Strongyloides stercoralis.
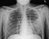
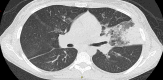
Case report: A young woman with history of asthma presented with complaints of nausea, vomiting, abdominal pain, wheezing, and dry cough. Physical examination revealed diffuse expiratory wheezing and mild diffuse abdominal pain without rebound or guarding. Laboratory results showed leukocytosis with eosinophilia. Stool studies showed Strongyloides stercoralis. Imaging revealed ground-glass opacities in the right upper and lower lobe along with an infiltrate in the lingular lobe on the left side. Bronchoscopy showed Strongyloides stercoralis. The patient was diagnosed with hyperinfection syndrome due to Strongyloides stercoralis most probably exacerbated by prednisone given for her asthma. Steroids were then discontinued and the patient was started on ivermectin. The patient improved with treatment. Repeat stool examination was negative for Strongyloides stercoralis.
Conclusions: Clinicians have to be very careful when prescribing steroids in patients presenting with an exacerbation of asthma who are from areas endemic for Strongyloides stercoralis and should test for it (preferably with serology test) before starting treatment.
Figures
References
-
- Sen P, Gil C, Estrellas B, et al. Corticosteroid-induced asthma: a manifestation of limited hyperinfection syndrome due to Strongyloides stercoralis. South Med J. 1995;88(9):923–27. - PubMed
-
- Wehner JH, Kirsch CM, Kagawa FT, et al. The prevalence and response to therapy of Strongyloides stercoralis in patients with asthma from endemic areas. Chest. 1994;106(3):762–66. - PubMed
-
- Chu E, Whitlock WL, Dietrich RA. Pulmonary hyperinfection syndrome with Strongyloides stercoralis. Chest. 1990;97(6):1475–77. - PubMed
