Pig kidney graft survival in a baboon for 136 days: longest life-supporting organ graft survival to date
- PMID: 26130164
- PMCID: PMC4519393
- DOI: 10.1111/xen.12174
Pig kidney graft survival in a baboon for 136 days: longest life-supporting organ graft survival to date
Abstract
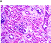
The longest survival of a non-human primate with a life-supporting kidney graft to date has been 90 days, although graft survival > 30 days has been unusual. A baboon received a kidney graft from an α-1,3-galactosyltransferase gene-knockout pig transgenic for two human complement-regulatory proteins and three human coagulation-regulatory proteins (although only one was expressed in the kidney). Immunosuppressive therapy was with ATG+anti-CD20mAb (induction) and anti-CD40mAb+rapamycin+corticosteroids (maintenance). Anti-TNF-α and anti-IL-6R were administered. The baboon survived 136 days with a generally stable serum creatinine (0.6 to 1.6 mg/dl) until termination. No features of a consumptive coagulopathy (e.g., thrombocytopenia, decreased fibrinogen) or of a protein-losing nephropathy were observed. There was no evidence of an elicited anti-pig antibody response. Death was from septic shock (Myroides spp). Histology of a biopsy on day 103 was normal, but by day 136, the kidney showed features of glomerular enlargement, thrombi, and mesangial expansion. The combination of (i) a graft from a specific genetically engineered pig, (ii) an effective immunosuppressive regimen, and (iii) anti-inflammatory agents prevented immune injury and a protein-losing nephropathy, and delayed coagulation dysfunction. This outcome encourages us that clinical renal xenotransplantation may become a reality.
Keywords: anti-IL-6R antagonist; costimulation blockade; genetically engineered; kidney; pig; xenotransplantation.
© 2015 John Wiley & Sons A/S. Published by John Wiley & Sons Ltd.
Conflict of interest statement
David Ayares and Carol Phelps are employees of Revivicor, Inc. No other author has a conflict of interest.
Figures













References
-
- Lambrigts D, Sachs DH, Cooper DK. Discordant organ xenotransplantation in primates: world experience and current status. Transplantation. 1998;66:547–561. - PubMed
-
- Baldan N, Rigotti P, Calabrese F, Cadrobbi R, Dedja A, Iacopetti I, et al. Ureteral stenosis in HDAF pig-to-primate renal xenotransplantation: a phenomenon related to immunological events? Am J Transplant. 2004;4:475–481. - PubMed
-
- Ayares D, Vaught T, Ball S, Kuravi K, Morrill B, Monahan J, et al. Genetic engineering of source pigs for xenotransplantation: progress and prospects. Xenotransplantation. 2013;20:361. (Abstract 408)
Publication types
MeSH terms
Substances
Grants and funding
LinkOut - more resources
Full Text Sources
Other Literature Sources
Medical
Miscellaneous