Displacement of a dental implant into the maxillary sinus after internal sinus floor elevation: report of a case and review of literature
- PMID: 26131057
- PMCID: PMC4483913
Displacement of a dental implant into the maxillary sinus after internal sinus floor elevation: report of a case and review of literature
Abstract
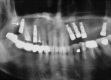
Background: Dental implant placement in the posterior maxilla may be complicated by implant migration into the maxillary sinus.
Purpose: To report the clinical and radiological characteristics of a patient who experienced dental implant displacement into the maxillary sinus following sinus floor elevation, and to compare our findings with those of other published reports of the displacement of dental implants.
Materials and methods: Implant placement and maxillary sinus elevation were performed simultaneously. The location of the displaced implant was monitored for 8 years, until the ectopic implant was surgically removed using the lateral window approach. The contributing factors, treatment modality, and clinical outcome for our patient were compared with those of patients reported in the literature.
Results: The clinical characteristics of our case were similar to those of patients with displaced implants who were also asymptomatic for long periods. The clinical outcome of our case was consistent with that of patients who underwent similar surgeries.
Conclusions: Transnasal endoscopic removal of an ectopic implant may be suitable in cases in which the ectopic implant is accessible. Transoral direct approaches are adequate in most cases in which endoscopic approaches may be confounded. The bony-window transoral technique may allow the removal of large implants.
Keywords: Maxillary sinus; bony-window transoral technique; dental implant placement; sinus floor elevation.
Figures










References
-
- Chappuis V, Suter VG, Bornstein MM. Displacement of a dental implant into the maxillary sinus: report of an unusual complication when performing staged sinus floor elevation procedures. Int J Periodontics Restorative Dent. 2009;29:81–87. - PubMed
-
- Chiapasco M, Felisati G, Maccari A, Borloni R, Gatti F, Di Leo F. The management of complications following displacement of oral implants in the paranasal sinuses: a multicenter clinical report and proposed treatment protocols. Int J Oral Maxillofac Surg. 2009;38:1273–1278. - PubMed
-
- Guler N, Delilbasi C. Ectopic dental implants in the maxillary sinus. Quintessence Int. 2007;38:e238–239. - PubMed
-
- Pelayo JL, Diago MP, Bowen EM, Diago MP. Intraoperative complications during oral implantology. Med Oral Patol Oral Cir Bucal. 2008;13:239–243. - PubMed
-
- Summers RB. The osteotome technique: Part 3--Less invasive methods of elevating the sinus floor. Compendium. 1994;15:698, 700, 702–4. quiz 710. - PubMed
LinkOut - more resources
Full Text Sources