Expression profile of the human IDO1 protein, a cancer drug target involved in tumoral immune resistance
- PMID: 26155395
- PMCID: PMC4485782
- DOI: 10.1080/2162402X.2014.1003012
Expression profile of the human IDO1 protein, a cancer drug target involved in tumoral immune resistance
Abstract
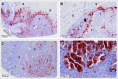
Tryptophan catabolism by indoleamine 2,3-dioxygenase (IDO1) is a physiological immunoregulatory mechanism often hijacked by tumors. Our recent extensive study of IDO1 protein expression in human tissues showed expression in mature dendritic cells and in pulmonary and placental endothelial cells. IDO1 was also expressed in 56% of tumors, either by tumoral, stromal, or endothelial cells. These results and reagent will guide the clinical development of IDO1 inhibitors for cancer therapy.
Keywords: dendritic cells; immunohistochemistry; immunosuppression; indoleamine 2,3-dioxygenase; tryptophan; tumor.
Figures

References
-
- Théate I, van Baren N, Pilotte L, Moulin P, Larrieu P, Renauld JC, Hervé C, Gutierrez-Roelens I, Marbaix E, Sempoux C, et al.. Extensive profiling of the expression of the indoleamine 2,3-dioxygenase 1 protein in normal and tumoral human tissues. Cancer Immunol Res 2015; 3(2):161–72; PMID: ; http://dx.doi.org/10.1158/2326-6066.CIR-14-0137 - DOI - PubMed
-
- Smith C, Chang MY, Parker KH, Beury DW, DuHadaway JB, Flick HE, Boulden J, Sutanto-Ward E, Soler AP, Laury-Kleintop LD, et al.. IDO is a nodal pathogenic driver of lung cancer and metastasis development. Cancer Discov 2012; 2:722–35; PMID:; http://dx.doi.org/10.1158/2159-8290.CD-12-0014 - DOI - PMC - PubMed
-
- Wang Y, Liu H, McKenzie G, Witting PK, Stasch JP, Hahn M, Changsirivathanathamrong D, Wu BJ, Ball HJ, Thomas SR, et al.. Kynurenine is an endothelium-derived relaxing factor produced during inflammation. Nat Med 2010; 16:279–85; PMID:; http://dx.doi.org/10.1038/nm.2092 - DOI - PMC - PubMed
-
- Lee JR, Dalton RR, Messina JL, Sharma MD, Smith DM, Burgess RE, Mazzella F, Antonia SJ, Mellor AL, Munn DH. Pattern of recruitment of immunoregulatory antigen-presenting cells in malignant melanoma. Lab Invest 2003; 83:1457–66; PMID:; http://dx.doi.org/10.1097/01.LAB.0000090158.68852.D1 - DOI - PubMed
-
- Spranger S, Koblish HK, Horton B, Scherle PA, Newton R, Gajewski TF. Mechanism of tumor rejection with doublets of CTLA-4, PD-1/PD-L1, or IDO blockade involves restored IL-2 production and proliferation of CD8(+) T cells directly within the tumor microenvironment. J Immunother Cancer 2014; 2:3; PMID:; http://dx.doi.org/10.1186/2051-1426-2-3. - DOI - PMC - PubMed
LinkOut - more resources
Full Text Sources
Molecular Biology Databases
Research Materials