Pylephlebitis After Colonic Polypectomy Causing Fever and Abdominal Pain
- PMID: 26157944
- PMCID: PMC4435405
- DOI: 10.14309/crj.2015.35
Pylephlebitis After Colonic Polypectomy Causing Fever and Abdominal Pain
Abstract
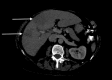
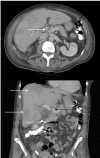
Pylephlebitis is a rare condition with a high mortality risk if not recognized and treated early. The most common symptoms include fever and abdominal pain, with the majority of cases manifesting with a polymicrobial bacteremia. We report an elderly woman with pylephlebitis presenting with fever, abdominal pain, diarrhea, and vomiting, likely secondary to a polypectomy 6 weeks prior. Abdominal CT revealed portal vein thrombus and blood cultures grew Streptococcus milleri and Haemophilus parainfluenza type V. Pylephlebitis should be considered when symptoms and signs of infection develop following endoscopic procedures, particularly in patients with an underlying hypercoaguable disease.
Figures
References
-
- Kasper DL, Sahani D, Misdraji J.. Case records of the Massachusetts General Hospital. Case 25-2005. A 40-year-old man with prolonged fever and weight loss. N Engl J Med. 2005;353(7):713–22. - PubMed
-
- Kanellopoulou T, Alexopoulou A, Theodossiades G, et al. . Pylephlebitis: An overview of non-cirrhotic cases and factors related to outcome. Scand J Infect Dis. 2010;42(11-12):804–11. - PubMed
-
- Baril N, Wren S, Radin R, et al. . The role of anticoagulation in pylephlebitis. Am J Surg. 1996;172(5):449–52. - PubMed
-
- Plemmons RM, Dooley DP, Longfield RN.. Septic thrombophlebitis of the portal vein (pylephlebitis): Diagnosis and management in the modern era. Clin Inf Dis. 1995;21(5):1114–20. - PubMed
-
- Baddley JW, Singh D, Correa P, Persich NJ.. Crohn's disease presenting as septic thrombophlebitis of the portal vein (pylephlebitis): Case report and review of the literature. Am J Gastroenterol. 1999;94(3):847–49. - PubMed
Publication types
LinkOut - more resources
Full Text Sources
Other Literature Sources
