Dementia
Abstract
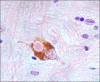
Dementia is a clinical diagnosis requiring new functional dependence on the basis of progressive cognitive decline. It is estimated that 1.3% of the entire UK population, or 7.1% of those aged 65 or over, have dementia. Applying these to 2013 population estimates gives an estimated number of 19,765 people living with dementia in Northern Ireland. The clinical syndrome of dementia can be due to a variety of underlying pathophysiological processes. The most common of these is Alzheimer's disease (50-75%) followed by vascular dementia (20%), dementia with Lewy bodies (5%) and frontotemporal lobar dementia (5%). The clinical symptoms and pathophysiological processes of these diseases overlap significantly. Biomarkers to aid diagnosis and prognosis are emerging. Acetylcholinesterase inhibitors and memantine are the only medications currently licensed for the treatment of dementia. The nature of symptoms mean people with dementia are more dependent and vulnerable, both socially and in terms of physical and mental health, presenting evolving challenges to society and to our healthcare systems.
Figures







References
-
- Knapp M, Prince M. Dementia UK: full report. London: Alzheimer's Society; 2007.
-
- Prince M, Knapp M, Guerchet M, McCrone P, Prina M, Comas-Herrera A. Dementia UK: Update. London: Alzheimer's Society; 2014.
-
- Matthews FE, Arthur A, Barnes LE, Bond J, Jagger C, Robinson L, et al. A two-decade comparison of prevalence of dementia in individuals aged 65 years and older from three geographical areas of England: results of the Cognitive Function and Ageing Study I and II. Lancet. 2013;382(9902):1405–12. - PMC - PubMed
-
- Prince M, Guerchet M, Prina M. Policy Brief for Heads of Government: The Global Impact of Dementia 2013 - 2050; London: Alzheimer's Disease International; 2013.
-
- Todd S, Barr S, Roberts M, Passmore AP. Survival in dementia and predictors of mortality: a review. Int J Geriatr Psychiatry. 2013;28(11):1109–24. - PubMed
Publication types
MeSH terms
Substances
LinkOut - more resources
Full Text Sources
Medical
Molecular Biology Databases