Diagnosis of primary ciliary dyskinesia
- PMID: 26176524
- PMCID: PMC4541762
- DOI: 10.1590/S1806-37132015000004447
Diagnosis of primary ciliary dyskinesia
Abstract
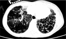
Primary ciliary dyskinesia (PCD) is a genetic disorder of ciliary structure or function. It results in mucus accumulation and bacterial colonization of the respiratory tract which leads to chronic upper and lower airway infections, organ laterality defects, and fertility problems. We review the respiratory signs and symptoms of PCD, as well as the screening tests for and diagnostic investigation of the disease, together with details related to ciliary function, ciliary ultrastructure, and genetic studies. In addition, we describe the difficulties in diagnosing PCD by means of transmission electron microscopy, as well as describing patient follow-up procedures.
Discinesia ciliar primária (DCP) é uma doença genética que compromete a estrutura e/ou a função ciliar, causando retenção de muco e bactérias no trato respiratório e levando a infecções crônicas nas vias aéreas superiores e inferiores, defeitos de lateralidade visceral e problemas de fertilidade. Revisamos os sinais e sintomas respiratórios da DCP, os testes de triagem e a investigação diagnóstica, bem como detalhes relacionados ao estudo da função, ultraestrutura e genética ciliar. Descrevemos também as dificuldades em diagnosticar a DCP por meio de microscopia eletrônica de transmissão, bem como o seguimento dos pacientes.
Figures
References
-
- Olm MA, Kögler JE, Jr, Macchione M, Shoemark A, Saldiva PH, Rodrigues JC. Primary ciliary dyskinesia: evaluation using cilia beat frequency assessment via spectral analysis of digital microscopy images. J Appl Physiol (1985) 2011;111(1):295–302. doi: 10.1152/japplphysiol.00629.2010. - DOI - PMC - PubMed
-
- Santos JW, Waldow A, Figueiredo CW, Kleinubing DR, Barros SS. Discinesia ciliar primária. J Pneumol. 2001;27(5):262–268. doi: 10.1590/S0102-35862001000500006. - DOI
Publication types
MeSH terms
Substances
LinkOut - more resources
Full Text Sources
