Traumatic L5 Posterolateral Spondyloptosis: A Case Report and Review of the Literature
- PMID: 26180701
- PMCID: PMC4494538
- DOI: 10.7759/cureus.277
Traumatic L5 Posterolateral Spondyloptosis: A Case Report and Review of the Literature
Abstract
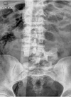
Traumatic retrolisthesis of the lumbar spine is a rare clinical entity. Only a few case reports have shown retrolisthesis of the fractured fragment over the inferior vertebral body. Fracture dislocations of the spine are unstable injuries that require operative fixation to restore alignment and prevent progressive deformity. We present the case of a traumatic L5-S1 fracture dislocation with retrolisthesis of the L5 vertebral body over the superior aspect of S1 managed with anterior, middle, and posterior column reconstruction. The patient presented with paraplegia and bowel and bladder incontinence. Retrolisthesis fracture dislocations injuries are rare, and as such, there are no guidelines regarding their management. In our case, we performed an L5 vertebrectomy with anterior, middle, and posterior column reconstruction via a posterior approach using a lumbosacral-pelvic construct. The patient did not regain function in his distal lower extremities postoperatively.
Keywords: fracture dislocation; retrolisthesis; spinal cord injury; spine; spine fractures; spondyloptosis; trauma.
Conflict of interest statement
The authors have declared that no competing interests exist.
Figures








References
-
- Fracture-dislocation of the fifth lumbar vertebra. A new classification. Aihara T, Takahashi K, Yamagata M, Moriya H. J Bone Joint Surg Br. 1998;80:840–845. - PubMed
-
- Traumatic spondyloptosis of L4. Zhou TH, Tang X, Xu YQ, Zhu YL. Spine. 2010;35:0–9. - PubMed
-
- Corpectomy of the fifth lumbar vertebra, a challenging procedure. Shousha M, El-Saghir H, Boehm H. J Spinal Disord Tech. 2005;27:347–351. - PubMed
Publication types
LinkOut - more resources
Full Text Sources
Other Literature Sources