A Rare Case of a Primary Squamous Cell Carcinoma of the Stomach Presenting as a Submucosal Mass
- PMID: 26185704
- PMCID: PMC4491394
- DOI: 10.1155/2015/482342
A Rare Case of a Primary Squamous Cell Carcinoma of the Stomach Presenting as a Submucosal Mass
Abstract
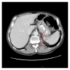
We report a case of a 70-year-old man, with a status after aortic valve replacement, who presented with melena and hypotension. On physical examination, he was hypotensive, but he responded to resuscitation. Esophagogastroduodenoscopy revealed a submucosal mass in the gastric fundus. Imaging of the chest, abdomen, and pelvis showed no evidence of local or distant metastasis. He underwent a partial diaphragmatic resection, gastrectomy, lymphadenectomy, and Roux-en-Y esophagojejunostomy. Pathology showed a gastric squamous cell carcinoma (SCC) invading the diaphragm, with negative margins of resection, and one positive perigastric lymph node. He received chemoradiation, but the patient expired 27 months after surgery.
Figures
 
              
              
              
              
                
                
                 
              
              
              
              
                
                
                 
              
              
              
              
                
                
                 
              
              
              
              
                
                
                References
- 
    - Muto M., Hasebe T., Muro K., et al. Primary squamous cell carcinoma of the stomach: a case report with a review of Japanese and Western literature. Hepato-Gastroenterology. 1999;46(29):3015–3018. - PubMed
 
- 
    - Bonnheim D. C., Sarac O. K., Fett W. Primary squamous cell carcinoma of the stomach. The American Journal of Gastroenterology. 1985;80(2):91–94. - PubMed
 
- 
    - Schmidt C., Schmid A., Lüttges J. E., Kremer B., Henne-Bruns D. Primary squamous cell carcinoma of the stomach. Report of a case and review of literature. Hepato-Gastroenterology. 2001;48(40):1033–1036. - PubMed
 
LinkOut - more resources
- Full Text Sources
- Other Literature Sources
- Research Materials
 
        