Skip to main page content
U.S. flag

An official website of the United States government

Dot gov

The .gov means it’s official.
Federal government websites often end in .gov or .mil. Before sharing sensitive information, make sure you’re on a federal government site.

Https

The site is secure.
The https:// ensures that you are connecting to the official website and that any information you provide is encrypted and transmitted securely.

Access keys NCBI Homepage MyNCBI Homepage Main Content Main Navigation
. 2015 May 1;8(5):5153-60.
eCollection 2015.

Abnormal intestinal permeability and microbiota in patients with autoimmune hepatitis

Affiliations

Abnormal intestinal permeability and microbiota in patients with autoimmune hepatitis

Rui Lin et al. Int J Clin Exp Pathol. .

Abstract

Background: Autoimmune hepatitis (AIH) is a chronic, progressive, and immunologically mediated inflammatory liver disorder. The etiology of AIH still remains unknown. The aim of this study was to investigate the changes in intestinal permeability, bacterial translocation, and intestinal microbiome in patients with AIH and to evaluate the correlations of those changes with the stages of the disease.

Methods: 24 patients with autoimmune hepatitis and 8 healthy volunteers were recruited for this study. We assessed (1) the integrity of tight junctions within the gut by immunohistochemical analysis of zona occludens-1 and occludin expression in duodenal biopsy specimens; (2) changes in the enteric microbiome by 16S rDNA quantitative PCR; and (3) the presence of bacterial translocation by the level of lipopolysaccharide (LPS) using ELISA.

Results: Increased intestinal permeability, derangement of the microbiome and bacterial translocation occurred in AIH, which correlated with the severity of the disease.

Conclusions: Autoimmune hepatitis is associated with leaky gut and intestinal microbiome dysbiosis. The impaired intestinal barrier may play an important role in the pathogenesis of AIH.

Keywords: Autoimmune hepatitis; bacterial; intestinal permeability; microbiota; translocation.

PubMed Disclaimer

Figures

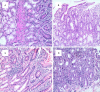
Figure 1
Figure 1
Pathology studies of the duodenum. H&E-staining of the duodenum in AIH and controls. A. Displayed the normal duodenal mucosa in healthy control group. B-D. Showed disruption of the architecture of the duodenal mucosa in AIH; B. AIH normal liver function group; C. AIH abnormal liver function group; D. AIH cirrhosis group.
Figure 2
Figure 2
Immunohistochemistry analysis of ZO-1 and occludin expression on intestinal mucosa of AIH and controls. The expression of ZO-1 (A-D) and occludin (E-H) in the duodenal biopsy specimens from AIH patients were examined. A, E. Healthy control group; B, F. AIH normal liver function group; C, G. AIH abnormal liver function group; D, H. AIH cirrhosis group.
Figure 3
Figure 3
Changes in the enteric microbiome. Compared with the healthy controls, a reduced quantitative amount of Bifidobacterium and Lactobacillus in different stages of the disease (*P < 0.05 vs Healthy control), the amount of Escherichia coli and Enterococcus were unchanged in AIH. Bifidobacteria/Escherichia coli (B/E) which indicated a balance of intestinal flora declined (P < 0.05).
Figure 4
Figure 4
Plasma LPS levels of AIH. The level of plasma LPS was detected by ELISA in the patients with different stages of AIH. The LPS level of each group of the AIH patients was compared with that of healthy control, respectively, *P < 0.05.

References

    1. Gossard AA, Lindor KD. Autoimmune hepatitis: a review. J Gastroenterol. 2012;47:498–503. - PubMed
    1. Mackay IR. Autoimmune hepatitis: what must be said. Exp Mol Pathol. 2012;93:350–353. - PubMed
    1. Zeuzem S. Gut-liver axis. Int J Colorectal Dis. 2000;15:59–82. - PubMed
    1. Bilzer M, Roggel F, Gerbes AL. Role of Kupffer cells in host defense and liver disease. Liver Int. 2006;26:1175–1186. - PubMed
    1. Seki E, Brenner DA. Toll-like receptors and adaptor molecules in liver disease: update. Hepatology. 2008;48:322–335. - PubMed

Publication types

MeSH terms

LinkOut - more resources