Skip to main page content
U.S. flag

An official website of the United States government

Dot gov

The .gov means it’s official.
Federal government websites often end in .gov or .mil. Before sharing sensitive information, make sure you’re on a federal government site.

Https

The site is secure.
The https:// ensures that you are connecting to the official website and that any information you provide is encrypted and transmitted securely.

Access keys NCBI Homepage MyNCBI Homepage Main Content Main Navigation
. 2015 Mar;10(1):14-8.

Mucinous Breast Cancer: a Review Study of 5 Year Experience from a Hospital-Based Series of Cases

Affiliations

Mucinous Breast Cancer: a Review Study of 5 Year Experience from a Hospital-Based Series of Cases

Adrian Dumitru et al. Maedica (Bucur). 2015 Mar.

Abstract

Background: Mucinous carcinoma (also known as colloid carcinoma) is a particular type of breast cancer characterized by the presence of extracellular mucin and is linked with a more favorable prognosis than invasive breast carcinoma of no special type. Mucinous carcinoma of the breast is an uncommon form of breast tumor, often presenting as a lobulated, moderately well circumscribed mass on mammography, sonography, and MRI imaging. It accounts for 1 to 7% of all breast cancers. Pure mucinous breast carcinomas are rare and account for about 2% of all primary breast carcinomas. Metastatic disease happens at a lower rate than in other types of invasive carcinoma.

Methods: We present our 5 year experience with this particular pathology in a retrospective review study.

Results: We identified 25 patients with mixed and pure mucinous breast cancer, the tumor size varied greatly from 2 to 19 cm in diameter. A subset of mixed mucinous carcinomas (8 cases) showed neuroendocrine differentiation or other associated premalignant lessions.

Conclusion: Mucinous carcinoma of the breast is a rare entity with a favorable prognosis due to low incidence of lymph node metastases. Pure mucinous breast carcinoma has an even rare.

Keywords: breast; mucinous carcinoma; neuroendocrine differentiation.

PubMed Disclaimer

Figures

Figure 1
Figure 1
T4 mucinous breast carcinoma. Note the tumoral extension to the skin and the nipple retraction.
Figure 2
Figure 2
"Pure" mucinous breast carcinoma – hypocellular variant. Sparce nests or individual cells floating in a large amount of mucin. H.E. obX30.
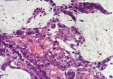
Figure 3
Figure 3
Mixed mucinous breast carcinoma with marked tumoral angiogenesis and vascular invasion. H.E. obX40.
Figure 4
Figure 4
Mucinous breast carcinoma, mixed type, with endocrine differentiation showing intense immunoreactivity to synaptophysin. IHC – Streptavidin Biotin, obX20.

References

    1. Bae SY, Choi MY, Cho DH, et al. Mucinous carcinoma of the breast in comparison with invasive ductal carcinoma: clinicopathologic characteristics and prognosis. J Breast Cancer. 2011;14:308–313. - PMC - PubMed
    1. WF Anderson, KC Chu, S Chang, et al. Comparison of age-specific incidence rate patterns for different histopathologic types of breast carcinoma. Cancer Epidemiol Biomarkers Prev. 2004;13:1128–1135. - PubMed
    1. Hanagiri T, Ono K, Baba T, et al. Clinicopathologic characteristics of mucinous carcinoma of the breast. Int Surg. 2010;95:126–129. - PubMed
    1. Saverio SD, Gutierrez J, Avisar E, et al. A retrospective review with long term follow up of 11,400 cases of pure mucinous breast carcinoma. Breast Cancer Res Treat. 2008;111:541–547. - PubMed
    1. Park S, Koo J, Kim JH, et al. Clinicopathological characteristics of mucinous carcinoma of the breast in Korea: comparison with invasive ductal carcinoma-not otherwise specified. J Korean Med Sci. 2010;25:361–368. - PMC - PubMed

LinkOut - more resources