The impact of the absence of aliphatic glucosinolates on water transport under salt stress in Arabidopsis thaliana
- PMID: 26236322
- PMCID: PMC4502342
- DOI: 10.3389/fpls.2015.00524
The impact of the absence of aliphatic glucosinolates on water transport under salt stress in Arabidopsis thaliana
Abstract
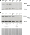
Members of the Brassicaceae are known for their contents of nutrients and health-promoting phytochemicals, including glucosinolates. Exposure to salinity increases the levels of several of these compounds, but their role in abiotic stress response is unclear. The effect of aliphatic glucosinolates on plant water balance and growth under salt stress, involving aquaporins, was investigated by means of Arabidopsis thaliana mutants impaired in aliphatic glucosinolate biosynthesis, which is controlled by two transcription factors: Myb28 and Myb29. The double mutant myb28myb29, completely lacking aliphatic glucosinolates, was compared to wild type Col-0 (WT) and the single mutant myb28. A greater reduction in the hydraulic conductivity of myb28myb29 was observed under salt stress, when compared to the WT and myb28; this correlated with the abundance of both PIP1 and PIP2 aquaporin subfamilies. Also, changes in root architecture in response to salinity were genotype dependent. Treatment with NaCl altered glucosinolates biosynthesis in a similar way in WT and the single mutant and differently in the double mutant. The results indicate that short-chain aliphatic glucosinolates may contribute to water saving under salt stress.
Keywords: Arabidopsis thaliana; Brassicaceae; glucosinolates; hydraulic conductance; plasma membrane intrinsic protein.
Figures
References
-
- Ashraf M., Haris P. J. C. (2004). Potential biochemical indicators of salinity tolerance in plants. Plant Sci. 166, 3–16. 10.1016/j.plantsci.2003.10.024 - DOI
-
- Borgnia M. J., Kozono D., Maloney P., Agre P. (1999). Purification and functional reconstitution of bacterial aquaporins. Biophys. J. 76, A436–A436.
LinkOut - more resources
Full Text Sources
Other Literature Sources
Molecular Biology Databases
